U Xương: Nguyên nhân, triệu chứng và biện pháp điều trị
U xương – một vấn đề không hiếm gặp nhưng lại ít được chú ý cho đến khi gây ra triệu chứng nghiêm trọng.
Hiểu rõ về nguyên nhân, triệu chứng và phương pháp điều trị u xương giúp bạn sớm phát hiện và có hướng xử lý kịp thời. Cùng tìm hiểu chi tiết trong bài viết dưới đây.
Tóm tắt nội dung chính trong bài viết:
- U xương là sự phát triển bất thường của tế bào trong cấu trúc xương, được chia thành hai nhóm chính là u lành tính (ít nguy hiểm) và u ác tính (có khả năng xâm lấn, di căn và đe dọa tính mạng).
- Các loại u xương rất đa dạng, trong đó u lành tính thường gặp như u xương sụn, u xơ không cốt hóa, u tế bào khổng lồ…, còn u ác tính bao gồm sarcoma xương, sarcoma Ewing, sarcoma sụn và ung thư di căn xương.
- Nguyên nhân gây u xương chưa được xác định rõ, nhưng có liên quan đến yếu tố di truyền, quá trình phát triển cơ thể, xạ trị, tác dụng phụ của thuốc và một số bệnh lý ung thư khác.
- Triệu chứng điển hình của u xương là đau âm ỉ kéo dài, sưng, biến dạng xương, dễ gãy xương và trong trường hợp nặng có thể kèm theo các biểu hiện toàn thân như sụt cân, mệt mỏi.
- Việc chẩn đoán và điều trị u xương cần kết hợp nhiều phương pháp như chụp X-quang, MRI, sinh thiết và các phác đồ như phẫu thuật, hóa trị hoặc xạ trị, trong đó phát hiện sớm đóng vai trò quan trọng trong việc cải thiện tiên lượng bệnh.
1. U xương là gì?
U xương là tình trạng xuất hiện khối u phát triển bất thường trong cấu trúc xương, xuất phát từ sự phân chia không kiểm soát của các tế bào xương. Dựa vào tính chất của khối u, u xương được chia thành hai loại chính: u lành tính và u ác tính.
- U lành tính: Không lan rộng, ít nguy hiểm và thường không ảnh hưởng nghiêm trọng đến sức khỏe.
- U ác tính: Thường liên quan đến ung thư xương hoặc di căn từ các bệnh lý khác. Loại này có khả năng xâm lấn và phá hủy cấu trúc xương, gây biến chứng nặng nề.
U xương có thể xuất hiện ở mọi lứa tuổi, nhưng tiến triển của bệnh khác nhau ở từng nhóm:
- Trẻ em: Phần lớn u xương là nguyên phát, có thể có hoặc liên quan đến ung thư với tỷ lệ thấp.
- Người lớn: U xương thường xuất hiện thứ phát, có nguy cơ ung thư cao.

U xương là tình trạng xuất hiện khối u phát triển bất thường trong cấu trúc xương
2. Các loại u xương lành tính
2.1. U xương sụn
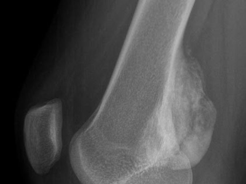
U xương sụn là loại u xương lành tính phổ biến nhất, thường xuất hiện ở trẻ vị thành niên và thanh niên trong độ tuổi từ 13 đến 25. Khối u này hình thành từ sự phát triển bất thường của mô sụn và xương, thường xuất hiện ở các đầu xương dài như xương đùi, xương cánh tay và đôi khi ở xương sườn hoặc cột sống.
U xương sụn thường phát triển chậm, gây đau hoặc biến dạng nhẹ ở khu vực xương bị ảnh hưởng. Khi khối u lớn, bệnh nhân có thể cảm thấy khó chịu hoặc bị hạn chế vận động. Trên ảnh chụp X-quang, u xương sụn cho thấy hình ảnh nấm sụn có cuống, phát triển gần hành xương.
2.2. U xơ không cốt hóa
U xơ không cốt hóa là một loại u xương, hình thành do sự tổn thương xơ hóa của xương với triệu chứng cận lâm sàng là tiêu vỏ xương có xuất hiện tổn thương. Đây là loại u lành tính.
Người bị u xơ không cốt hóa sẽ có những ổ khuyết khá nhỏ bên trong xương. Những ổ khuyết này sẽ được lấp đầy bằng mô xơ thay vì mô xương như người khỏe mạnh.
Loại u này là một tổn thương xơ hóa xuất hiện trong xương, thay thế mô xương bằng mô sợi. Đối tượng mắc bệnh chủ yếu là trẻ em và thanh thiếu niên. U xơ không cốt hóa có đặc điểm là các ổ tổn thương thường nhỏ, không gây ra triệu chứng nghiêm trọng. Tuy nhiên, trong một số trường hợp, chúng có thể làm suy yếu cấu trúc xương, dẫn đến gãy xương bệnh lý.
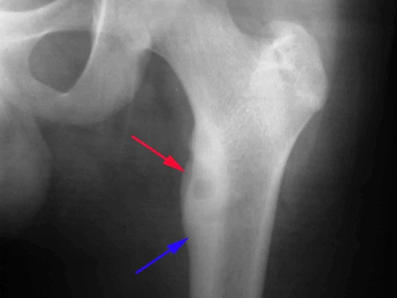
2.3. U tế bào khổng lồ
U tế bào khổng lồ, hay còn gọi là u đại bào, u hủy cốt bào là một dạng u lành tính nhưng có nguy cơ tiến triển thành ác tính nếu không được điều trị. Loại u xương này thường gặp ở đầu xương dài như xương chày, xương đùi và xương quay.
2.4. U sụn
U sụn phát triển từ mô sụn bên trong tủy xương, có thể gặp ở mọi lứa tuổi. Đây là loại u xương lành tính nhưng có thể tiềm ẩn nguy cơ tiến triển thành ung thư, đặc biệt khi có hiện tượng chảy máu mô mềm.
U sụn bao gồm hai dạng u nội sụn (phổ biến) và u nguyên bào sụn hiếm gặp. U nội sụn thường không gây triệu chứng nhưng khối u lớn có thể dẫn đến đau hoặc sưng. U nguyên bào sụn có thể gây đau lan vào khớp và hạn chế vận động, thường có biểu hiện là đường viền calci hóa trong khối u khi xem chẩn đoán hình ảnh.
2.5. Nang xương phình mạch
Nang xương phình mạch chủ yếu xảy ra ở hành xương dài và thường gặp ở người trưởng thành trẻ tuổi trên 25. Nang xương làm xương bị phồng lên, gây đau và dễ gãy xương, tuy nhiên thường phát triển chậm. Tổn thương từ nang xương phình mạch có thể kéo dài nhiều năm trước khi được phát hiện trong các kỳ khám sức khỏe.
2.6. Nang xương đơn độc
Đây là loại u xương lành tính phổ biến ở trẻ em, hay gặp nhất trong độ tuổi từ 5 đến 15. Nang xương đơn độc có thể tự khỏi và thường không gây triệu chứng, nhưng có thể dẫn đến gãy xương bệnh lý. U nang xương này thường chứa dịch tương tự u nang ở các vị trí khác, tổn thương lan rộng theo đường kính của hành xương.

Các loại u xương lành tính
3. Các loại u xương ác tính
Sarcoma xương
Sarcoma xương là dạng u ác tính phổ biến nhất với nhiều phân nhóm mô học theo vị trí và cấp độ xương của khối u.
Sarcoma xương nội tủy
- Sarcoma xương thường gặp: Phân nhóm phổ biến nhất, chiếm 80% tổng số u xương ác tính, phát sinh từ ống tủy của người bệnh.
- Sarcoma xương nguyên bào mạch máu: <4% bệnh ung thư xương, đặc trưng bởi nhiều xoang chứa đầy máu. Các xoang có hình dạng tương tự u nang xương phình động mạch. Mô tổn thương cũng được quan sát thấy thấm vào tủy xương hoặc vỏ não xung quanh.
- U xương ác tính thấp: chiếm 1% đến 2% trong số tất cả các u xương ác tính, chủ yếu xuất hiện ở các xương dài của người trưởng thành trẻ tuổi.
- Sarcoma tế bào nhỏ: 1,5% bệnh ung thư xương, tương tự với Sarcoma Ewing; đặc điểm phân biệt là sản xuất tế bào dạng xương và dạng sợi rời rạc.
Sarcoma xương bề mặt:
- Sarcoma xương ở xương mác: 1% đến 6% bệnh ung thư xương, phát triển chậm, xuất phát từ bề mặt ngoài của phần xương.
- Sarcoma xương ở màng xương: chiếm tỷ lệ 1% đến 2% bệnh ung thư xương, bệnh phát triển nhanh và nguy hiểm với sự gia tăng nhanh chóng của các tế bào bất thường.
Sarcoma Ewing
Sarcoma Ewing là một loại ung thư hiếm gặp, thường xuất hiện ở trẻ em và thanh thiếu niên, đặc biệt trong độ tuổi từ 10 đến 20. Tế bào ung thư Sarcoma Ewing thường xuất phát từ các hốc tủy tạo ra tủy xương, ngoài ra có thể bắt nguồn từ các mô cơ, mỡ hay mô mạch máu. Khối u này thường phát triển ở xương dài như xương đùi, xương chày, xương cánh tay cũng như xương chậu và thành ngực.
Sarcoma sụn
Sarcoma sụn là một loại ung thư xương nguyên phát, phát triển từ các tế bào sụn trong ống tủy (nguyên phát) hoặc phát triển từ bề mặt xương thứ phát sau u nội sụn hoặc u xương sụn đã tồn tại trước đó (thứ phát). Bệnh thường gặp ở người trưởng thành, đặc biệt là nam giới trên 40 tuổi. Vị trí phổ biến của sarcoma sụn bao gồm xương chậu, xương đùi và xương bả vai.
Trong Sarcoma sụn, các tiểu thùy sụn có sự thay đổi đáng kể về kích thước. Bệnh có nguy cơ di căn tới các cơ quan khác trong cơ thể khá cao.
Ung thư di căn xương
Ung thư di căn xương xảy ra khi tế bào ung thư từ các cơ quan khác lan đến xương. Các loại ung thư di căn đến xương phổ biến bao gồm ung thư vú, ung thư phổi, ung thư tuyến tiền liệt, ung thư thận và ung thư tuyến giáp.
Bệnh đa u tủy
Bệnh đa u tủy là một loại ung thư của tế bào plasma trong tủy xương, dẫn đến sự tích tụ của các tế bào bất thường trong xương và gây tổn thương xương. Bệnh có biểu hiện là đau xương dai dẳng ở ngực, lưng và có thể dẫn đến gãy xương, suy thận hoặc nhiễm trùng tái phát.

Các loại u xương ác tính
4. Nguyên nhân u xương
Nguyên nhân dẫn đến sự hình thành u xương hiện nay vẫn chưa được làm rõ. Tuy nhiên, một số yếu tố có thể liên quan đến sự phát triển của u xương đã được ghi nhận như sau:
- Yếu tố di truyền: Một số đột biến gen có thể là nguyên nhân khiến tế bào xương phát triển không kiểm soát, dẫn đến sự hình thành khối u. Bên cạnh đó, một số bệnh lý di truyền, chẳng hạn như hội chứng Li-Fraumeni, có thể làm tăng nguy cơ mắc u xương, đặc biệt là các dạng ác tính.
- Nguyên nhân liên quan đến quá trình phát triển của cơ thể: Trong giai đoạn dậy thì, xương phát triển nhanh chóng, làm tăng nguy cơ hình thành u xương lành tính.
- Xạ trị: Tiếp xúc với bức xạ liều cao trong điều trị ung thư có thể làm tăng nguy cơ phát triển u xương ác tính.
- Tác dụng phụ của thuốc: Một số loại thuốc chống ung thư hoặc ức chế miễn dịch có thể gây ảnh hưởng đến sự phát triển của xương, dẫn đến hình thành khối u.
- Chấn thương xương: Dù không phải nguyên nhân trực tiếp, chấn thương có thể kích hoạt sự phát triển bất thường của tế bào xương, tạo điều kiện hình thành khối u.
- Thứ phát do ung thư khác di căn.

Nguyên nhân dẫn đến sự hình thành u xương hiện nay vẫn chưa được làm rõ
5. Các dấu hiệu nhận biết khối u xương
Khối u xương có thể biểu hiện qua nhiều triệu chứng khác nhau tùy vào tính chất lành tính hay ác tính của khối u. Việc nhận biết sớm các dấu hiệu có vai trò quan trọng trong quá trình điều trị, giúp ngăn ngừa các biến chứng nguy hiểm.
Triệu chứng điển hình và thường gặp nhất của u xương là cơn đau âm ỉ tại vị trí khối u. Cơn đau này có xu hướng:
- Âm ỉ kéo dài, không thuyên giảm dù nghỉ ngơi.
- Tăng dần về cường độ, đặc biệt khi vận động mạnh hoặc thực hiện các hoạt động tạo áp lực lên vùng xương bị ảnh hưởng, như khi di chuyển, chạy nhảy hoặc mang vác nặng.
- Đau về đêm, đặc biệt trong giai đoạn tiến triển của bệnh, có thể làm gián đoạn giấc ngủ và ảnh hưởng đến chất lượng cuộc sống.
Đối với khối u xương ác tính, cơn đau có xu hướng ngày càng dữ dội và kéo dài, ngay cả khi người bệnh không vận động.
Các triệu chứng khác:
- Xương giòn yếu, dễ gãy ngay cả khi gặp chấn thương nhẹ hoặc các tác động lực thông thường.
- Xương yếu dần theo thời gian, khiến người bệnh cảm thấy khó khăn trong vận động và giảm khả năng chịu lực của cơ thể.
- Một số trường hợp khối u xương có thể gây ra biểu hiện sưng to hoặc biến dạng vùng xương bị tổn thương như xương phình to bất thường, vùng da bên ngoài có thể nóng hơn, căng cứng hoặc xuất hiện các đường gân nổi do khối u phát triển; khi ấn vào vị trí sưng có thể gây đau hoặc khó chịu, mức độ đau tăng lên khi khối u phát triển lớn hơn.
- Giảm phạm vi vận động, cứng khớp, khó thực hiện các động tác uốn cong, duỗi thẳng hoặc xoay khớp. Khập khiễng khi di chuyển, gây mất cân bằng và ảnh hưởng đến sinh hoạt thường ngày.
Trong một số trường hợp u ác tính, người bệnh có thể gặp phải các triệu chứng toàn thân như:
- Sốt nhẹ kéo dài, không rõ nguyên nhân.
- Mệt mỏi, sụt cân không kiểm soát, dù chế độ ăn uống không thay đổi.
- Chán ăn, cơ thể suy nhược, thiếu máu.
Những dấu hiệu này thường là cảnh báo cho thấy khối u đã tiến triển, ảnh hưởng đến nhiều cơ quan khác trong cơ thể.
Tuy nhiên, có không ít các trường hợp u xương không gây triệu chứng nào và chỉ được phát hiện tình cờ khi kiểm tra sức khỏe định kỳ, chụp X-quang, CT scan hoặc MRI vì các lý do khác.

U xương có thể biểu hiện qua nhiều triệu chứng khác nhau tùy vào tính chất khối u.
6. Chẩn đoán bệnh u xương
Chẩn đoán bệnh u xương là một quá trình phức tạp, đòi hỏi bác sĩ phải kết hợp nhiều phương pháp để xác định chính xác bản chất của khối u, đánh giá mức độ xâm lấn cũng như đưa ra hướng điều trị phù hợp. Việc chẩn đoán sớm và chính xác có vai trò quan trọng trong việc cải thiện tiên lượng sống còn, tăng cơ hội bảo tồn chức năng xương và cải thiện chất lượng cuộc sống cho người bệnh.
6.1. Khai thác triệu chứng lâm sàng
Bước đầu tiên trong chẩn đoán u xương là thu thập thông tin từ bệnh sử và triệu chứng lâm sàng. Bác sĩ sẽ hỏi về:
- Triệu chứng đau xương: Thường xuất hiện âm ỉ, kéo dài, không cải thiện khi nghỉ ngơi và có xu hướng tăng dần về mức độ.
- Sưng nề vùng xương bị ảnh hưởng, có thể kèm theo nóng, đỏ do khối u phát triển.
- Giảm khả năng vận động, hạn chế chức năng của vùng xương bị ảnh hưởng.
- Tiền sử bệnh lý cá nhân và gia đình, bao gồm các yếu tố nguy cơ như chấn thương xương trước đây, di truyền, hoặc tiếp xúc với hóa chất độc hại.
Dựa trên triệu chứng, bác sĩ sẽ tiến hành loại trừ các bệnh lý khác như gãy xương, viêm xương, hoặc nhiễm trùng xương, trước khi chỉ định các phương pháp chẩn đoán cận lâm sàng phù hợp.
6.2. Các phương pháp chẩn đoán cận lâm sàng
Sau khi thăm khám lâm sàng, bác sĩ sẽ yêu cầu thực hiện các kỹ thuật chẩn đoán hình ảnh và xét nghiệm để xác định vị trí, kích thước và đặc điểm của khối u xương. Các phương pháp thường được sử dụng bao gồm:
- Chụp X-quang: Là phương pháp chẩn đoán hình ảnh đầu tiên và phổ biến nhất để phát hiện bất thường trong cấu trúc xương, giúp xác định vị trí khối u, hình dạng, mật độ và mức độ ảnh hưởng đến mô xương xung quanh. Hình ảnh X-quang có thể cho thấy các dấu hiệu như vùng mất xương (tiêu xương) hoặc tạo xương bất thường.
- Chụp cắt lớp vi tính (CT): Cung cấp hình ảnh chi tiết, lát cắt mỏng của xương và mô mềm xung quanh, giúp đánh giá mức độ xâm lấn của khối u. CT scan đặc biệt hữu ích trong việc lập kế hoạch phẫu thuật và đánh giá tổn thương xương trong trường hợp nghi ngờ di căn.
- Chụp cộng hưởng từ (MRI): Phương pháp này cho phép đánh giá chi tiết cấu trúc mô mềm, xác định mức độ xâm lấn của khối u vào các cơ quan lân cận như cơ bắp, mạch máu và thần kinh. MRI đặc biệt hữu ích trong việc phân biệt giữa khối u lành tính và ác tính dựa trên đặc điểm mô học.
- Chụp cắt lớp phát xạ positron (PET/CT): Kết hợp giữa hình ảnh cắt lớp và chức năng chuyển hóa của khối u, PET/CT giúp phát hiện di căn sớm và đánh giá mức độ hoạt động của khối u. Thường được chỉ định khi nghi ngờ khối u có tính chất ác tính hoặc theo dõi sau điều trị.
- Quét xương bằng chất phóng xạ (Bone scan): Phương pháp này sử dụng chất đánh dấu phóng xạ để phát hiện các tổn thương xương do khối u hoặc di căn. Giúp đánh giá mức độ lan rộng của bệnh trong toàn bộ hệ thống xương.
Ngoài ra, các xét nghiệm sinh hóa có thể hỗ trợ chẩn đoán và theo dõi tiến triển bệnh, bao gồm:
- Định lượng phosphatase kiềm (ALP): Thường tăng cao trong trường hợp có tổn thương xương hoặc khối u ác tính.
- Canxi huyết thanh: Giúp đánh giá tình trạng chuyển hóa xương.
- Protein đặc hiệu: Một số trường hợp u xương ác tính có thể làm tăng protein chỉ điểm khối u trong máu.
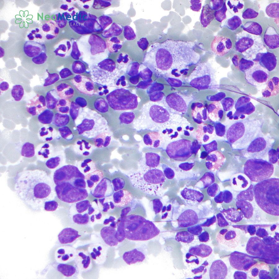
6.3. Sinh thiết khối u
Sinh thiết là phương pháp quyết định giúp xác định chính xác bản chất của khối u. Có hai loại sinh thiết chính:
- Chọc hút tế bào kim nhỏ (Fine Needle Aspiration – FNA): Dùng kim nhỏ lấy mẫu tế bào từ khối u để phân tích mô học.
- Sinh thiết mở: Thực hiện phẫu thuật để lấy mẫu mô lớn hơn, giúp đánh giá chính xác đặc điểm tế bào khối u.
Sinh thiết giúp phân loại khối u lành tính hay ác tính, đồng thời cung cấp thông tin quan trọng cho việc lập phác đồ điều trị hiệu quả.

Chẩn đoán bệnh u xương
7. Cách điều trị u xương
Điều trị u xương phụ thuộc vào tính chất lành tính hay ác tính của khối u. Trong khi u xương lành tính có thể theo dõi mà không cần can thiệp, thì u xương ác tính đòi hỏi phác đồ điều trị nghiêm ngặt nhằm loại bỏ hoàn toàn tế bào ung thư và ngăn chặn di căn.
U xương lành tính
Hầu hết các trường hợp u xương lành tính không cần điều trị nếu chúng không gây đau đớn hoặc ảnh hưởng đến vận động của người bệnh. Tuy nhiên, bác sĩ có thể đề nghị theo dõi định kỳ bằng chẩn đoán hình ảnh như X-quang hoặc MRI để kiểm tra sự phát triển của khối u. Đối với các trường hợp u lành tính gây đau nhẹ, bác sĩ có thể kê đơn thuốc giảm đau không steroid (NSAIDs).
Nếu khối u có dấu hiệu tăng trưởng nhanh, gây đau đớn hoặc chèn ép mô xung quanh, phương pháp phẫu thuật có thể được xem xét để loại bỏ hoàn toàn khối u. Việc phẫu thuật nhằm ngăn ngừa biến chứng và giảm nguy cơ khối u tiến triển thành ác tính.
U xương ác tính
U xương ác tính, hay ung thư xương, có khả năng phát triển nhanh chóng và di căn đến các cơ quan khác, gây nguy hiểm đến tính mạng. Phác đồ điều trị sẽ phụ thuộc vào loại ung thư xương, giai đoạn phát hiện và vị trí khối u.
Phẫu thuật cắt bỏ khối u
Phẫu thuật là phương pháp điều trị chính cho ung thư xương với mục tiêu loại bỏ toàn bộ khối u cùng phần mô lành xung quanh để ngăn chặn nguy cơ tái phát. Bác sĩ sẽ quyết định thực hiện:
- Phẫu thuật bảo tồn chi: Cắt bỏ khối u mà vẫn giữ lại chi thể. Sau phẫu thuật, bệnh nhân có thể cần điều trị phục hồi chức năng để duy trì khả năng vận động.
- Phẫu thuật cắt cụt chi: Chỉ được áp dụng khi khối u đã lan rộng hoặc không thể bảo tồn được chức năng của chi bị ảnh hưởng.
- Phẫu thuật lạnh (Cryosurgery): Đây là phương pháp mới, sử dụng nitơ lỏng để đóng băng và phá hủy tế bào ung thư. Phương pháp này thường được chỉ định trong các trường hợp u xương có kích thước nhỏ, chưa lan rộng ra các mô xung quanh.
Hóa trị (Chemotherapy)
Hóa trị là phương pháp sử dụng các loại thuốc mạnh để tiêu diệt tế bào ung thư hoặc ngăn chúng phát triển. Hóa trị là một phần của phác đồ điều trị tiêu chuẩn cho bệnh u xương ác tính và u xương ác tính Ewing. Hóa trị có thể được chỉ định:
- Trước phẫu thuật (tân bổ trợ): Nhằm thu nhỏ khối u, giúp phẫu thuật dễ dàng hơn.
- Sau phẫu thuật (bổ trợ): Tiêu diệt tế bào ung thư còn sót lại, ngăn nguy cơ tái phát và di căn trong tương lai.
Xạ trị (Radiotherapy)
Xạ trị là phương pháp sử dụng tia bức xạ năng lượng cao để tiêu diệt tế bào ung thư hoặc thu nhỏ khối u trước khi phẫu thuật. Phương pháp này thường được áp dụng trong các trường hợp khối u nằm ở vị trí khó phẫu thuật hoặc không thể phẫu thuật.
Xạ trị có thể được sử dụng trong trường hợp vị trí của khối u khó tiếp cận bằng phẫu thuật, không thể cắt bỏ đủ thể tích khối u hoặc người bệnh đáp ứng với hóa trị kém. Ngoài ra, xạ trị còn giúp kiểm soát cơn đau và làm chậm sự phát triển của khối u. Khi kết hợp hóa trị, xạ trị giúp tăng hiệu quả điều trị đối với các khối u ác tính giai đoạn muộn.
Lưu ý khi điều trị u xương
Bệnh nhân cần tuân thủ phác đồ điều trị và theo dõi sức khỏe định kỳ để phát hiện sớm các dấu hiệu bất thường. Một số lưu ý quan trọng trong quá trình điều trị bao gồm:
- Chế độ dinh dưỡng hợp lý: Tăng cường thực phẩm giàu canxi, vitamin D để hỗ trợ xương chắc khỏe.
- Vận động phù hợp: Tập luyện nhẹ nhàng để duy trì thể lực và tinh thần.
- Tuân thủ điều trị: Dùng thuốc theo chỉ dẫn và thực hiện đầy đủ các chỉ định từ bác sĩ chuyên khoa.

Điều trị u xương phụ thuộc vào tính chất lành tính hay ác tính của khối u.
8. Biến chứng u xương
Biến chứng của u xương chủ yếu xuất hiện ở các trường hợp u xương ác tính, đặc biệt là ung thư xương. Khi khối u phát triển không kiểm soát, người bệnh có nguy cơ gặp phải nhiều hệ lụy nghiêm trọng, chẳng hạn như tàn phế, mất chức năng vận động, thậm chí di căn đến các cơ quan khác trong cơ thể, phá hủy cấu trúc xương lành.
Ngược lại, u xương lành tính thường không gây biến chứng nghiêm trọng. Tuy nhiên, một số trường hợp vẫn có thể ảnh hưởng đến mật độ xương, khiến xương yếu hơn và dễ tổn thương trước các tác động cơ học. Cụ thể:
8.1. Biến chứng liên quan đến khối u
- Gãy xương bệnh lý: Gãy xương bệnh lý là một trong những biến chứng phổ biến, đặc biệt trong các trường hợp ung thư xương tiến triển hoặc khi người bệnh đang điều trị bằng hóa trị. Tình trạng này có thể xảy ra do khối u làm suy yếu cấu trúc xương hoặc do tác động phụ từ các phương pháp điều trị. Một số nghiên cứu cho thấy, tỷ lệ gãy xương bệnh lý có thể lên đến 10% ở bệnh nhân ung thư xương.
- Khối u tái phát: U xương có nguy cơ tái phát cao ngay cả sau khi đã được điều trị triệt để. Điều này đòi hỏi bệnh nhân cần theo dõi định kỳ, kết hợp với chế độ điều trị bổ trợ để kiểm soát nguy cơ tái phát.
- Di căn xa: Ở giai đoạn muộn, ung thư xương có thể di căn đến phổi, gan và não, làm tăng tỷ lệ tử vong. Di căn xương có thể gây ra đau nhức dữ dội, giảm khả năng vận động, thậm chí gãy xương tự phát.
8.2. Biến chứng liên quan đến điều trị
Biến chứng do phẫu thuật
- Nhiễm trùng vết mổ: Tình trạng nhiễm trùng tại vị trí phẫu thuật hoặc quanh vùng cấy ghép có thể xảy ra do hệ miễn dịch suy giảm hoặc thời gian phẫu thuật kéo dài. Nếu không được điều trị kịp thời, nhiễm trùng có thể dẫn đến hoại tử mô và buộc phải cắt cụt chi.
- Nhiễm trùng quanh chân giả: Khoảng 20% bệnh nhân phẫu thuật cắt bỏ chi do ung thư xương gặp phải tình trạng nhiễm trùng quanh chân giả. Biến chứng này thường liên quan đến nhiều yếu tố như thời gian phẫu thuật dài, hệ miễn dịch kém hoặc tiếp xúc với môi trường không đảm bảo vệ sinh.
- Thất bại cấy ghép: Trong quá trình điều trị, một số bệnh nhân có thể gặp tình trạng không liền xương hoặc gãy cấy ghép sinh học, đặc biệt khi sử dụng ghép xương tự thân hoặc dị loại. Điều này đòi hỏi bệnh nhân phải tiến hành phẫu thuật bổ sung hoặc thay thế bộ phận cấy ghép.
- Gãy xương sau phẫu thuật: Đây là biến chứng ít gặp nhưng có thể xảy ra nếu bệnh nhân không tuân thủ các chỉ dẫn phục hồi sau phẫu thuật.
Biến chứng do hóa trị
- Tác dụng phụ ngắn hạn: Thiếu máu, buồn nôn, nôn, rụng tóc và suy giảm miễn dịch.
- Tác dụng phụ dài hạn: Tổn thương tim (đặc biệt do Doxorubicin), suy thận (do Cisplatin), giảm thính lực, tổn thương thần kinh ngoại biên. Nguy cơ mắc bệnh ung thư thứ phát sau khi kết thúc điều trị trong vòng 10 năm.
Biến chứng do xạ trị
- Ảnh hưởng đến da và mô mềm, gây khô da, viêm da hoặc loét.
- Ảnh hưởng đến đường tiêu hóa, gây buồn nôn, tiêu chảy, rối loạn tiêu hóa.
- Tăng nguy cơ ung thư thứ phát, đặc biệt khi xạ trị tại vùng có cơ quan nhạy cảm như phổi hoặc gan.
Rối loạn chức năng nội tiết
Một số phương pháp điều trị ung thư có thể tác động tiêu cực đến hệ thống nội tiết, dẫn đến các vấn đề như loãng xương, suy giảm chức năng sinh sản hoặc biến đổi nội tiết tố.

Biến chứng của u xương chủ yếu xuất hiện ở các trường hợp u xương ác tính
9. Biện pháp phòng ngừa u xương như thế nào?
Hiện nay, chưa có phương pháp đặc hiệu giúp ngăn ngừa hoàn toàn bệnh u xương, tuy nhiên, việc xây dựng lối sống lành mạnh và kiểm soát các yếu tố nguy cơ có thể giúp giảm thiểu khả năng mắc bệnh. Phòng ngừa không chỉ tập trung vào việc bảo vệ hệ xương mà còn cần duy trì sức khỏe tổng thể, từ đó hỗ trợ hệ miễn dịch và giúp cơ thể chống lại các tác nhân gây hại.
Các biện pháp giúp giảm nguy cơ mắc u xương:
- Chế độ dinh dưỡng hợp lý: Bổ sung đầy đủ canxi và vitamin D, ăn nhiều thực phẩm giàu chất chống oxy hóa và hạn chế thực phẩm chế biến sẵn.
- Kiểm tra sức khỏe định kỳ: Thực hiện thăm khám sức khỏe định kỳ ít nhất 2 lần/năm giúp phát hiện sớm các bất thường về xương khớp, đặc biệt là nếu có tiền sử gia đình mắc bệnh liên quan. Việc theo dõi mật độ xương, xét nghiệm sinh hóa máu có thể giúp nhận diện nguy cơ thiếu hụt khoáng chất và điều chỉnh kịp thời.
- Tập luyện thể thao hợp lý: Tập thể dục thường xuyên không chỉ giúp duy trì khối lượng xương mà còn tăng cường sức mạnh cơ bắp, hỗ trợ hệ xương khớp hoạt động hiệu quả hơn.
- Tránh tiếp xúc với tác nhân gây hại: Hạn chế làm việc hoặc tiếp xúc với môi trường có bức xạ cao mà không có biện pháp bảo hộ; giảm tiếp xúc với các chất gây ung thư từ công nghiệp hoặc môi trường sống như amiăng, benzen,... và tránh hút thuốc lá cũng như lạm dụng rượu bia.
10. Câu hỏi thường gặp về u xương (FAQ)
Giải đáp các câu hỏi thường gặp về u xương từ chuyên gia NeoMedic:
10.1. U xương có chữa được không?
U xương (bao gồm cả u lành và ác tính) có thể chữa được, đặc biệt nếu phát hiện sớm. Hầu hết các trường hợp u xương lành tính không cần điều trị nếu chúng không gây đau đớn hoặc ảnh hưởng đến vận động của người bệnh. Đối với u xương ác tính, tỷ lệ sống còn sau 5 năm cho bệnh giai đoạn đầu có thể đạt khoảng 70-80%.
10.2. U xương có nguy hiểm không?
U xương có thể nguy hiểm hoặc không, phụ thuộc vào việc đó là u lành tính hay ác tính. U lành tính thường không đe dọa tính mạng nhưng gây đau, yếu xương. Ngược lại, u ác tính rất nguy hiểm, có khả năng di căn nhanh, hủy hoại xương và nguy cơ gây tử vong.
10.3. U xương lành tính có đau không?
U xương lành tính có thể gây đau khi khối u phát triển, chèn ép vào mô xương hoặc dây thần kinh xung quanh. Cơn đau thường âm ỉ, dai dẳng và tăng dần. Tuy nhiên, các khối u nhỏ không chèn ép mô xung quanh có thể không gây đau và chỉ được phát hiện qua phim chụp X-quang.
U xương có thể gây ra nhiều vấn đề sức khỏe nghiêm trọng nếu không được phát hiện và điều trị kịp thời. Vì vậy, khi có dấu hiệu bất thường, bạn cần thăm khám bác sĩ chuyên khoa để được chẩn đoán và điều trị sớm. Việc chủ động kiểm tra sức khỏe sẽ giúp bạn ngăn ngừa những biến chứng nguy hiểm liên quan đến u xương.
Tham khảo:
- Jack E. Pullan; Saran Lotfollahzadeh, 2024. Primary Bone Cancer. https://www.ncbi.nlm.nih.gov/sites/books/NBK560830/.
- Anna C. Greenwood; Rahul D Arora; Hira Shaikh, 2014. Osteosarcoma. https://www.ncbi.nlm.nih.gov/books/NBK563177/.