U máu: Nguyên nhân, triệu chứng và phương pháp điều trị
U máu là bệnh lý do sự phát triển bất thường của mạch máu, gây đau đớn và ảnh hưởng đến sức khỏe. Tìm hiểu về u máu trong bài viết sau!
U máu là một tình trạng bệnh lý do sự phát triển bất thường của các mạch máu, có thể xuất hiện ở nhiều bộ phận trong cơ thể. Việc nhận diện sớm các triệu chứng u máu giúp chẩn đoán và điều trị hiệu quả, ngăn ngừa những biến chứng nghiêm trọng.
1. U máu là gì?
U máu là khối u lành tính hình thành do sự phát triển bất thường của các mạch máu. U máu có thể xuất hiện dưới dạng vết bớt màu đỏ tươi trên da hoặc các khối u bên trong cơ thể như ở gan, ruột, cột sống, hệ thần kinh trung ương và hệ hô hấp. U máu có thể xuất hiện ở cả trẻ em và người lớn, đặc biệt là trẻ sơ sinh.

U máu là khối u lành tính hình thành do sự phát triển bất thường của các mạch máu.
2. Phân loại u máu
U máu có thể xuất hiện ở nhiều cơ quan trong cơ thể, bao gồm gan, não, da, và các cơ quan nội tạng khác. Mỗi loại u máu có đặc điểm và mức độ nghiêm trọng khác nhau.
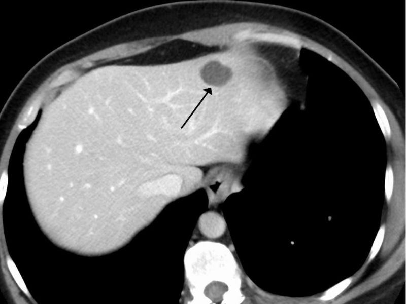
U máu gan
U máu gan là loại u máu phổ biến nhất trong nhóm u máu nội tạng. Thông thường, u máu trong gan ít khi gây ra triệu chứng. Tuy nhiên, nếu u máu gan phát triển lớn hơn 4 cm, bệnh nhân có thể gặp phải các triệu chứng như đau tức hoặc cảm giác đầy bụng.
Tỷ lệ mắc u máu gan ở người trưởng thành dao động từ 5% đến 7%, và nữ giới có khả năng mắc bệnh cao hơn nam giới. Các yếu tố như việc sử dụng thuốc tránh thai hoặc thay đổi nội tiết tố trong thai kỳ có thể liên quan đến sự hình thành u máu gan.
U máu gan thường lành tính và việc phát hiện u máu gan thường được thực hiện qua các phương pháp cận lâm sàng như siêu âm hoặc chụp cắt lớp vi tính. Vì gan không có dây thần kinh cảm giác nên hầu hết người bệnh rất khó nhận biết u máu gan cho đến khi phát hiện qua các xét nghiệm.
U máu ở não
Tuy rất hiếm gặp nhưng u máu có thể hình thành trong não. Có hai dạng u máu ở não thường gặp:
- Hemangioblastoma (U nguyên bào mạch máu): Đây là khối u lành tính phát triển chậm từ các tế bào tạo thành lớp trong mạch máu. Khoảng 2% tất cả các khối u trong não là u máu. Hemangioblastomas thường xuất hiện ở thân não và tiểu não. Những người mắc hội chứng von Hippel-Lindau có nguy cơ cao phát triển u nguyên bào mạch máu ở não và các khối u khác dạng nang trong gan, tuyến tụy và thận.
- Hemangiopericytoma (U tế bào quanh mao mạch): Loại u này ít gặp hơn và hình thành từ các tế bào bao quanh mạch máu trong màng não. Những khối u này có thể lan rộng sang các bộ phận khác của cơ thể, cần sự điều trị sớm để tránh các biến chứng nguy hiểm.
Khối u máu trên da
U máu trên da phát triển khi có sự tăng trưởng bất thường của các mạch máu ở lớp da. Các mạch máu này có thể nhóm lại thành các khối u máu. U máu có thể xuất hiện ở bất kỳ vị trí nào trên cơ thể, nhưng thường thấy ở vùng mặt, cổ, đầu hoặc sau tai với biểu hiện trông như một vết bớt đỏ hoặc khối u lồi có màu đỏ sẫm trên bề mặt da.
U máu trên da có thể xuất hiện ngay từ khi thai nhi còn ở trong bụng mẹ và được cho là có liên quan đến một số protein liên quan được sản xuất trong nhau thai. Phần lớn u máu trên da không gây ra các vấn đề sức khỏe nghiêm trọng nhưng một số u máu thể hang cần được theo dõi và điều trị để tránh các tác động xấu đến sức khỏe.
Vị trí khác
Ngoài những vị trí kể trên, u máu còn có thể xuất hiện ở các cơ quan nội tạng khác như ruột, cột sống, hệ hô hấp hay cơ quan sinh dục. Tùy thuộc vào vị trí và kích thước của u máu, bệnh nhân có thể gặp phải các nguy cơ như loét, chảy máu hoặc nứt khối u trong quá trình sinh hoạt hàng ngày.

U máu có thể xuất hiện ở nhiều cơ quan trong cơ thể
3. Nguyên nhân gây ra u máu
Nguyên nhân chính xác gây ra u máu hiện nay vẫn chưa được xác định rõ ràng. Tuy nhiên, các nhà khoa học cho biết một số yếu tố có thể làm tăng nguy cơ phát triển u máu như sau:
Di truyền
Nhiều nghiên cứu chỉ ra rằng yếu tố di truyền đóng vai trò quan trọng trong sự hình thành u máu. Những người có hội chứng Von Hippel-Lindau, một tình trạng di truyền hiếm gặp có tỷ lệ mắc hemangioblastoma (u nguyên bào mạch máu) trong não cao hơn.
Nguy cơ u máu ở trẻ sơ sinh
Một số nghiên cứu đã đưa ra các giả thuyết về nguyên nhân gây u máu ở trẻ sơ sinh. Giả thuyết phổ biến cho rằng tình trạng thiếu oxy trong thai kỳ có thể kích thích quá trình hình thành các mạch máu mới, dẫn đến sự xuất hiện của u máu. Một giả thuyết khác cho rằng các tế bào nuôi dưỡng nhau thai có thể là nguồn gốc của các tế bào gốc, từ đó hình thành khối u máu. Bên cạnh đó, quá trình sinh mạch, bao gồm sự hình thành mạch máu mới từ các mạch hiện có và sinh mạch từ các tế bào tiền thân cũng có thể góp phần vào sự phát triển của bệnh.

Nguyên nhân chính xác gây ra u máu hiện nay vẫn chưa được xác định rõ ràng
4. Triệu chứng và dấu hiệu nhận biết u máu
U máu có thể xuất hiện với các triệu chứng rõ rệt trên da hoặc bên trong cơ thể, tùy vào vị trí và kích thước của khối u. Các biểu hiện này có thể thay đổi theo thời gian và mức độ nghiêm trọng của bệnh.
Biểu hiện ngoài da
U máu thường bắt đầu với một vết đỏ hoặc nốt đỏ, có thể xuất hiện ở bất kỳ vị trí nào trên cơ thể, phổ biến nhất ở vùng đầu, mặt và cổ. Đối với trẻ sơ sinh, u máu thường là một vết đỏ phẳng hoặc có sự thay đổi về màu sắc và hình dáng theo thời gian.
U máu ở trẻ sơ sinh thường xuất hiện dưới dạng tổn thương nông, sâu hoặc hỗn hợp. U máu ở trẻ sơ sinh thường có ba giai đoạn tiến triển:
- Giai đoạn tăng sinh: Trong giai đoạn này, u máu phát triển nhanh chóng trong ba tháng đầu và tiếp tục tăng trưởng đến tháng thứ tám. U máu dạng sâu có xu hướng phát triển lâu hơn, có thể kéo dài đến tháng thứ mười hai của cuộc đời.
- Giai đoạn ổn định: Khối u thường tăng trưởng chậm lại. Kích thước u máu ổn định trong nhiều tháng (6 - 12 tháng tuổi).
- Giai đoạn thoái triển: Trong giai đoạn này, u máu bắt đầu thoái triển và có thể tiếp tục trong nhiều năm. Các khối u trở nên mềm hơn, dễ ấn xuống và màu sắc thay đổi từ đỏ sang tím hoặc xám. Da ở vị trí tổn thương có thể trở lại bình thường, tuy nhiên vẫn có thể có dấu hiệu của sự thay đổi mô xơ mỡ hoặc giãn mạch. Thông thường, đến khi trẻ lên 5 tuổi, đa số các u máu sẽ tự thoái lui và không còn thấy dấu hiệu u máu khi trẻ lên 10 tuổi.
Triệu chứng bên trong cơ thể
U máu chứa huyết khối hoặc phát triển gần các cơ quan như gan có thể gây các triệu chứng như buồn nôn, nôn ói, đau bụng, cảm giác nhanh no và khó chịu. Trong một số ít trường hợp, u máu gan có thể gây sụt cân, buồn nôn hoặc đau bụng khi khối u xuất huyết hoặc hình thành huyết khối. U máu hình thành trong não có thể chèn ép thần kinh gây đau nhức, buồn nôn, nôn hoặc chóng mặt.

U máu có thể xuất hiện với các triệu chứng rõ rệt trên da hoặc bên trong cơ thể
5. U máu có nguy hiểm không?
Đa phần u máu là những khối u lành tính và không gây nguy hiểm đến tính mạng. Tuy nhiên, chúng có thể gây ra các biến chứng nghiêm trọng ảnh hưởng đến sức khỏe, thẩm mỹ và chất lượng cuộc sống của người bệnh:
- Loét: Loét là một trong những biến chứng phổ biến nhất của u máu, xảy ra ở khoảng 10% bệnh nhân. Những vị trí dễ bị loét bao gồm hậu môn sinh dục, môi dưới, nách và cổ - những vùng có sự ma sát cao. Loét có thể gây đau đớn, viêm nhiễm và tăng nguy cơ nhiễm trùng.
- Biến chứng mắt: U máu cũng có thể gây ra các vấn đề về thị giác, chẳng hạn như nhược thị, loạn thị, cận thị hoặc tổn thương sau nhãn cầu. Ngoài ra, tắc ống dẫn nước mắt cũng có thể xảy ra, gây tình trạng mắt không thể thoát nước mắt bình thường, dẫn đến khô mắt và khó chịu.
- Tắc nghẽn đường hô hấp: Khi u máu xuất hiện tại các khu vực gần đường thở như mũi, hạ thanh quản hay thanh quản, có thể gây tắc nghẽn, ảnh hưởng đến khả năng hô hấp bình thường của người bệnh.
- Khó khăn trong việc ăn uống: U máu xuất hiện gần vùng miệng, môi hoặc ở lưỡi có thể gây cản trở việc ăn uống, làm cho người bệnh khó nuốt hoặc ăn uống không thoải mái. Tình trạng này đặc biệt ảnh hưởng đến trẻ nhỏ và người già, những đối tượng cần duy trì chế độ ăn uống đầy đủ để phát triển và duy trì sức khỏe.
- Biến dạng thẩm mỹ: Các u máu ở các vùng mặt, tai hoặc gần miệng có thể gây biến dạng thẩm mỹ. Đặc biệt, khi u máu xuất hiện ở những vị trí dễ nhìn thấy như vùng mũi (gây mũi Cyrano) có thể gây tự ti, mặc cảm.
- Biến chứng nội tạng: U máu nội tạng, đặc biệt là u máu đa ổ (khi có từ 5 tổn thương trở lên), có thể ảnh hưởng đến các cơ quan trong cơ thể như gan, đường tiêu hóa, dẫn đến suy giảm sức khỏe tổng thể.

Đa phần u máu là những khối u lành tính và không gây nguy hiểm đến tính mạng
6. Chẩn đoán u máu
U máu có thể dễ dàng bị nhầm lẫn với các dị dạng mạch máu hoặc khối u mô mềm khác. Bên cạnh đó, u máu thường không gây ra triệu chứng rõ rệt và chỉ được phát hiện trong các lần khám sức khỏe định kỳ hoặc khi chẩn đoán một bệnh lý khác. Vì vậy, để chẩn đoán chính xác, bác sĩ thường sử dụng các phương pháp chẩn đoán hình ảnh và xét nghiệm chuyên sâu.
Các kỹ thuật chẩn đoán hình ảnh như siêu âm, chụp X-quang, CT hay chụp cộng hưởng từ MRI đóng vai trò quan trọng trong việc xác định chính xác u máu và giúp bác sĩ phân biệt u máu với các tình trạng khác như dị dạng mạch máu não, u nang bạch huyết, hạch bạch huyết hoặc các khối u ác tính như angiosarcoma (u mạch máu ác tính). Bên cạnh đó, phương pháp chụp hình mạch máu có sử dụng thuốc cản quang cũng có thể được sử dụng.
Bên cạnh các phương pháp chẩn đoán hình ảnh, một số xét nghiệm cận lâm sàng có thể được sử dụng để hỗ trợ chẩn đoán u máu:
- Yếu tố tăng trưởng nội mô mạch máu (VEGF): Xét nghiệm VEGF trong máu hoặc nước tiểu có thể giúp đánh giá sự tăng sinh của mạch máu, một dấu hiệu quan trọng trong việc xác định u máu.
- Yếu tố tăng trưởng beta nguyên bào sợi: Đây là một xét nghiệm khác có thể giúp phát hiện tình trạng thâm nhiễm hoặc biệt hóa của khối u máu, hỗ trợ bác sĩ trong việc đưa ra phương án điều trị phù hợp.
Ngoài ra, sinh thiết da có thể được thực hiện nếu còn nghi ngờ chẩn đoán sau khi đã hỏi bệnh và thăm khám lâm sàng.

Các kỹ thuật chẩn đoán hình ảnh đóng vai trò quan trọng trong việc xác định chính xác u máu
7. Phương pháp điều trị u máu
Hầu hết u máu không ảnh hưởng đến người bệnh và không cần điều trị. Trong những trường hợp u máu ảnh hưởng đến chức năng cơ thể, sức khỏe và tính thẩm mỹ của người bệnh có thể được can thiệp bằng các phương pháp sau:
7.1. Điều trị bằng thuốc
Thuốc chẹn beta như propranolol hay timolol là phương pháp điều trị phổ biến giúp làm chậm sự phát triển của u máu, đặc biệt là trong các trường hợp u máu ở trẻ sơ sinh, u máu nhỏ, nông và không biến chứng. Tuy nhiên, thuốc này có thể gây tác dụng phụ như nhịp tim chậm, hạ huyết áp, hoặc co thắt phế quản.
Một lựa chọn khác trong điều trị u máu là corticosteroid tại chỗ dùng để điều trị các tổn thương khu trú nhỏ hoặc corticosteroid đường uống (2 - 4mg/kg/ngày) để giảm sự phát triển của u máu.
7.2. Phẫu thuật
Phẫu thuật là phương pháp điều trị chính cho các trường hợp u máu lớn hoặc khi khối u gây tác động nghiêm trọng đến chức năng cơ thể hoặc thẩm mỹ như sau:
- Khối u chảy máu thường xuyên
- Khối u xuất hiện ở những vị trí như mặt, quanh mắt, miệng
- Khối u chèn ép đường thở hoặc cản trở tầm nhìn ở mắt
- Khối u chèn ép mạch máu và hệ thần kinh trong cơ thể
Phẫu thuật cắt bỏ u máu trong các cơ quan nội tạng như gan hoặc não có thể được áp dụng khi các triệu chứng trở nên nghiêm trọng. Tuy nhiên, trong những trường hợp u máu phát triển nhanh hoặc không thể phẫu thuật, các phương pháp điều trị khác như xạ trị, tiêm thuốc hoặc thuyên tắc mạch sẽ được xem xét.
7.3. Can thiệp ít xâm lấn
Tia laser là phương pháp điều trị phổ biến cho u máu ngoài da. Tia laser có tác dụng giảm đỏ và kích thước khối u, đồng thời giúp làm lành nhanh chóng các vết thương sau khi u máu tự thoái triển.
Ngoài ra, thuyên tắc mạch, một thủ thuật xâm lấn tối thiểu có thể được sử dụng để thu nhỏ khối u và giảm đau. Phương pháp này giúp ngừng cung cấp máu cho khối u, từ đó làm giảm kích thước và ngăn chặn sự phát triển của khối u. Thuyên tắc mạch đôi khi cũng được áp dụng trước phẫu thuật để giảm nguy cơ mất máu nhiều.
Hiện nay, nghiên cứu y học vẫn tiếp tục tìm ra những phương pháp điều trị mới cho u máu. Một số thuốc chống angiogenics ức chế sự hình thành mạch máu mới đang được thử nghiệm và có thể là một lựa chọn điều trị trong tương lai.

Các phương pháp điều trị u máu
Tóm lại, u máu là một bệnh lý lành tính nhưng có thể ảnh hưởng đến sức khỏe và thẩm mỹ của người bệnh trong một số trường hợp. Hầu hết các trường hợp u máu không cần điều trị và có thể tự thoái lui theo thời gian. Tuy nhiên, nếu u máu gây ra các triệu chứng nghiêm trọng, người bệnh cần tham khảo ý kiến bác sĩ để chọn phương pháp điều trị phù hợp để tránh biến chứng.