Tìm hiểu về u màng não: Phân loại, triệu chứng, nguyên nhân và nguy cơ biến chứng
U màng não là một dạng u não phổ biến, thường phát triển từ lớp màng bao quanh não và tủy sống.
U màng não tiềm ẩn nhiều nguy cơ ảnh hưởng nghiêm trọng đến sức khỏe nếu không được phát hiện sớm. Tìm hiểu ngay về u màng não, dấu hiệu nhận biết và giải pháp điều trị hiệu quả trong bài viết sau đây!
Tóm tắt nội dung chính trong bài viết:
- U màng não là khối u xuất phát từ màng não, đa phần là lành tính và phát triển chậm nhưng vẫn có thể gây nguy hiểm nếu chèn ép não hoặc tủy sống.
- Triệu chứng u màng não thường không đặc hiệu, bao gồm đau đầu kéo dài, rối loạn thị giác, co giật và suy giảm chức năng thần kinh tùy theo vị trí khối u.
- Nguyên nhân gây u màng não chưa thể xác định rõ, nhưng các yếu tố như tiếp xúc bức xạ, di truyền, nội tiết và lối sống có thể làm tăng nguy cơ mắc bệnh.
- Điều trị u màng não bao gồm theo dõi, phẫu thuật, xạ trị hoặc hóa trị nhằm kiểm soát bệnh và hạn chế biến chứng, phụ thuộc chủ yếu vào đặc điểm khối u.
1. U màng não là gì?
U màng não là một loại khối u nguyên phát của hệ thần kinh trung ương, bắt nguồn từ các tế bào nhung mao màng nhện trong màng não. Đây là dạng u phổ biến nhất của hệ thần kinh trung ương, chiếm khoảng 37,6% tổng số khối u nội sọ và gần 50% các khối u não lành tính. Màng nhện, nơi xuất phát của khối u đóng vai trò quan trọng trong việc bảo vệ não và duy trì hoạt động tối ưu của hệ thần kinh trung ương.
U màng não có thể gặp ở mọi vị trí trong hộp sọ, tuy nhiên các vị trí thường phát hiện u màng não bao gồm đỉnh đầu, hai bên thái dương và đôi khi trong ống sống (u màng cột sống hay u màng tủy).
Tỷ lệ mắc u màng não tăng theo tuổi, đặc biệt ở những người trên 60 tuổi. Phần lớn các khối u màng não phát triển chậm và không gây triệu chứng rõ rệt, nhưng cũng có những trường hợp tăng trưởng nhanh, gây áp lực lên não hoặc tủy sống, thậm chí ác tính, ảnh hưởng đến sức khỏe của người bệnh.

U màng não là một loại khối u nguyên phát của hệ thần kinh trung ương
2. Phân loại u màng não
U màng não được chia thành nhiều loại dựa trên cấp độ, tính chất của khối u (lành tính hoặc ác tính), vị trí phát triển và loại tế bào cấu thành. Việc phân loại này giúp các bác sĩ chẩn đoán chính xác và đưa ra phương pháp điều trị hiệu quả nhất.
2.1. Phân loại theo cấp độ
Theo hệ thống phân loại của Tổ chức Y tế Thế giới (WHO), u màng não được chia thành ba cấp độ:
- Độ I (U màng não điển hình): Đây là loại u lành tính, phát triển chậm và phổ biến nhất, chiếm khoảng 80% các trường hợp. Đôi khi có thể xác định được tình trạng tăng sinh xương ở vùng liền kề với khối u. U màng não độ 1 bao gồm 9 biến thể mô học khác nhau. Các khối u này thường không gây nguy hiểm lớn và có thể được điều trị hiệu quả bằng phẫu thuật.
- Độ II (U màng não không điển hình): Dù vẫn là u lành tính, u màng não loại II phát triển nhanh hơn và có nguy cơ tái phát cao sau điều trị. U màng não loại II là các tổn thương không điển hình được đặc trưng bởi ba hoặc nhiều hơn các đặc điểm sau: hoại tử, tăng trưởng dạng tấm, tỷ lệ nhân lớn, tăng số lượng tế bào hoặc tỷ lệ nhân/tế bào chất cao. Khoảng 17% các trường hợp u màng não thuộc nhóm này.
- Độ III (U màng não ác tính): Đây là loại u ác tính hiếm gặp, chiếm khoảng 1,7% các trường hợp mắc bệnh. U phát triển nhanh, lan rộng và có tiên lượng xấu hơn các loại khác. Các phân nhóm u màng não cấp độ 3 bao gồm u màng não dạng nhú và dạng rhabdoid.
U màng não cấp độ 1 phổ biến hơn ở phụ nữ, trong khi cấp độ 2 và 3 thường xảy ra ở nam giới.
2.2. Phân loại theo tính chất
U màng não được chia thành hai nhóm lớn dựa trên tính chất lành tính hay ác tính:
- U màng não lành tính: Chiếm khoảng 98% các trường hợp, thường ít gây nguy hiểm nếu được phát hiện và điều trị kịp thời.
- U màng não ác tính: Chỉ chiếm dưới 2% các trường hợp, nhưng có khả năng phát triển nhanh, di căn và tái phát cao.
2.3. Phân loại theo vị trí
Vị trí phát triển của u màng não ảnh hưởng trực tiếp đến triệu chứng và phương pháp điều trị:
- U màng não vòm sọ: Phát triển trên bề mặt não, có thể gây tăng áp lực nội sọ khi u lớn.
- U màng não trong não thất: Xuất hiện trong vùng chứa dịch não tủy (CSF), có thể gây tắc nghẽn hoặc rối loạn lưu thông dịch.
- U màng não vùng rãnh khứu: Nằm ở màng não giữa não và mũi tại nền sọ, gần thần kinh khứu giác. U ở vị trí này có thể gây suy giảm khứu giác.
- U màng não vùng cánh xương bướm: Gần ổ mắt, có thể ảnh hưởng đến thị giác.
2.4. Phân loại theo tế bào
U màng não có thể được chia thành hơn 15 biến thể dựa trên loại tế bào mô học, bao gồm:
- U màng não dạng nang: Chứa các túi dịch trong hoặc ngoài khối u chiếm khoảng 4 đến 7% u màng não. U màng não dạng nang có thể khó phân biệt với u thần kinh đệm trong trục hoặc u di căn.
- U màng não mảng: Khối u phát triển theo dạng lớp mỏng như tấm thảm, có thể xâm lấn xương, màng cứng và mô mềm lân cận. U màng não mảng thuộc phân độ 1 của WHO, chiếm 2 đến 9% trong số tất cả các trường hợp u màng não. Dạng này chủ yếu xảy ra trong sọ và hiếm khi thấy ở cột sống.
- U màng não do bức xạ (RIM): Khối u có biểu hiện tiềm ẩn và phát triển như một biến chứng do tiếp xúc với bức xạ do thầy thuốc hoặc môi trường.
- U màng não hóa xương: Khối u độ 1 phát triển chậm, đặc trưng bởi sự hóa xương hoặc vôi hóa hoàn toàn. Quá trình hóa xương khác với quá trình hóa xương được thấy trong u màng não dạng mảng. U màng não hóa xương có thể nằm trong sọ hoặc ở cột sống, chiếm khoảng 1 đến 5% tổng số u màng não tủy sống.

U màng não được chia thành nhiều loại khác nhau
3. Triệu chứng u màng não
Biểu hiện của u màng não trong sọ phụ thuộc vào vị trí bị ảnh hưởng. U màng não có thể không gây ra triệu chứng gì nhưng cũng có thể dẫn đến nhiều biểu hiện khác nhau. Triệu chứng u màng não thường không đặc hiệu, dễ nhầm lẫn với các bệnh lý khác như sau:
- Chóng mặt, đau đầu kéo dài, cơn đau có thể âm ỉ hoặc dữ dội, tăng dần theo thời gian
- Mờ mắt, suy giảm thị lực, lồi mắt, nhìn đôi, nhìn ba hoặc phù gai thị (khi có khối u chèn ép dây thần kinh thị giác)
- Co giật, yếu cơ, giảm phản xạ
- Mất khứu giác, ù tai, giảm thính lực
- Thay đổi về tinh thần, nhận thức và hành vi như suy giảm trí nhớ, giảm khả năng tập trung,...
- Buồn nôn và nôn mửa
Khi gặp bất kỳ dấu hiệu nào kể trên, người bệnh cần nhanh chóng thăm khám bác sĩ chuyên khoa để được chẩn đoán chính xác và điều trị phù hợp.

Biểu hiện của u màng não trong sọ phụ thuộc vào vị trí bị ảnh hưởng.
4. Nguyên nhân gây u màng não
Hiện nay, nguyên nhân chính xác gây u màng não vẫn chưa được xác định rõ ràng. Tuy nhiên, các nhà nghiên cứu đã chỉ ra một số yếu tố có thể làm tăng nguy cơ mắc bệnh như sau:
- Tiếp xúc với bức xạ (xạ trị), đặc biệt là ở trẻ em: Thời gian tiếp xúc với bức xạ càng kéo dài, tỷ lệ phát hiện u màng não càng cao.
- Béo phì, nghiện rượu
- Di truyền: Người mắc bệnh u xơ thần kinh loại 2, bệnh von Hippel Lindau, bệnh tân sinh nội tiết đa dạng loại 1, bệnh Li-Fraumeni, bệnh Cowden và hội chứng Gorlin có nguy cơ mắc u màng não cao. Ngoài ra, đột biến gen trội (NF2) nằm trên nhiễm sắc thể thường (22q12) cũng có liên quan mật thiết đến nguy cơ phát triển u màng não.
- Nội tiết tố nữ: U màng não phổ biến hơn ở phụ nữ, đồng thời 72% u màng não biểu hiện các thụ thể progesterone, estrogen và androgen trên màng tế bào gợi ý u màng não phát triển có liên quan đến vai trò của hormon sinh dục. Do đó, các liệu pháp thay thế hormone, sử dụng thuốc tránh thai đường uống cũng có thể làm tăng nguy cơ mắc u màng não.
Ngoài ra, một số yếu tố môi trường và sinh học khác như sự thoái hóa tế bào, hoại tử hoặc hiện tượng ốc đảo trong khối u cũng có thể góp phần vào sự hình thành và phát triển bệnh.

Hiện nay, nguyên nhân chính xác gây u màng não vẫn chưa được xác định rõ ràng
5. Biến chứng của u màng não
U màng não có thể gây ra nhiều biến chứng nghiêm trọng, đặc biệt khi không được phát hiện và điều trị kịp thời.
- Tăng áp lực nội sọ: Khi khối u phát triển, nó gây áp lực lên não, dẫn đến các triệu chứng như đau đầu dữ dội, buồn nôn, nôn mửa và giảm thị lực. Tình trạng này có thể tiến triển thành phù não hoặc xuất huyết não nguy hiểm.
- Rối loạn chức năng thần kinh: U màng não, tùy thuộc vào vị trí, có thể gây ra các rối loạn như mất cảm giác, yếu liệt cơ, giảm khả năng nói hoặc mất thị giác. Nếu khối u chèn ép dây thần kinh sọ não, người bệnh có thể bị song thị, ù tai hoặc mất thăng bằng.
- Co giật: Một số bệnh nhân mắc u màng não có thể xuất hiện cơn co giật, đặc biệt khi khối u ảnh hưởng đến vỏ não hoặc kích thích hoạt động điện bất thường trong não.
- Suy giảm trí nhớ và thay đổi hành vi: Khối u ảnh hưởng đến vùng trán hoặc vùng não chịu trách nhiệm quản lý hành vi, trí nhớ và cảm xúc, khiến người bệnh dễ bị lú lẫn, thay đổi tính cách hoặc suy giảm khả năng tư duy.
- Tổn thương vĩnh viễn: Một số trường hợp, u màng não gây tổn thương không thể phục hồi ở não hoặc dây thần kinh, để lại di chứng nghiêm trọng, ảnh hưởng đến chất lượng cuộc sống.
Trong các trường hợp nặng, u màng não có thể dẫn đến các tình trạng não úng thủy tắc nghẽn, liệt, rối loạn phối hợp vận động. Biến chứng của u màng não phụ thuộc vào kích thước, vị trí và mức độ phát triển của khối u. Vì vậy, việc chẩn đoán và điều trị sớm là yếu tố then chốt để giảm thiểu rủi ro và cải thiện tiên lượng cho bệnh nhân.

U màng não có thể gây ra nhiều biến chứng nghiêm trọng
6. Chẩn đoán u màng não
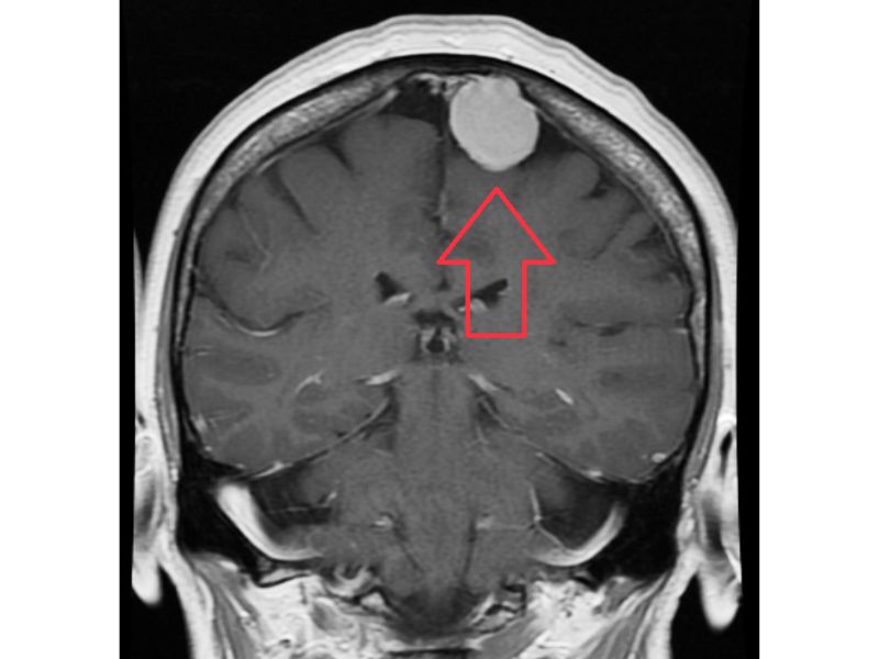
Việc chẩn đoán u màng não yêu cầu sự kết hợp giữa thăm khám lâm sàng, chẩn đoán hình ảnh và các xét nghiệm chuyên sâu. Trước tiên, bác sĩ tiến hành khám lâm sàng, hỏi tiền sử bệnh lý và đánh giá các triệu chứng cụ thể. Sau đó, bác sĩ có thể chỉ định chụp cộng hưởng từ MRI có thuốc cản quang để cung cấp hình ảnh chi tiết về não bộ, xác định vị trí, kích thước, mức độ xâm lấn và đánh giá tính chất của khối u. Trong một số trường hợp đặc biệt, chụp CT scan được sử dụng như một phương pháp bổ sung, nhất là khi cần đánh giá sự thâm nhiễm vào xương hoặc vôi hóa của khối u.
Bên cạnh đó, một số kỹ thuật khác cũng có thể được sử dụng để chẩn đoán u màng não như:
- Chụp động mạch xóa nền kỹ thuật số (DSA) được sử dụng để chứng minh các động mạch nuôi dưỡng của u màng não và để phân biệt giữa nguồn cung cấp máu màng não và màng cứng, hỗ trợ bác sĩ lập kế hoạch phẫu thuật ở những bệnh nhân có u màng não khổng lồ.
- Sinh thiết mô và xét nghiệm dịch não tủy được thực hiện để phân loại và đánh giá mức độ ác tính của khối u khi cần thiết.
- Chụp cắt lớp phát xạ positron là một phương pháp chụp X quang giúp phân định mạch máu và giao diện khối u-não, có thể được sử dụng để hỗ trợ lập kế hoạch phẫu thuật và theo dõi sau phẫu thuật.
Ngoài ra, mặc dù mối liên hệ giữa bệnh u màng não và hệ miễn dịch vẫn chưa được nghiên cứu đầy đủ, nhưng một số dấu hiệu như sự thay đổi nồng độ các yếu tố tăng trưởng insulin hay immunoglobulin E có thể là tín hiệu cảnh báo sớm. Việc kiểm tra định kỳ các dấu ấn sinh học trong huyết thanh có thể giúp phát hiện bệnh trong giai đoạn đầu và từ đó can thiệp kịp thời.

Chẩn đoán u màng não
7. Điều trị u màng não
Việc điều trị u màng não phụ thuộc vào loại u, kích thước, vị trí và tình trạng sức khỏe của bệnh nhân. Tùy thuộc vào từng trường hợp, bác sĩ có thể chỉ định các phương pháp điều trị sau đây:
- Theo dõi định kỳ: Những khối u nhỏ, không triệu chứng thường không cần can thiệp ngay lập tức. Thay vào đó, bệnh nhân theo dõi bằng cách chụp MRI định kỳ mỗi năm hoặc hai năm để đánh giá sự phát triển của khối u.
- Phẫu thuật: Phẫu thuật là phương pháp phổ biến để loại bỏ khối u, giúp hạn chế biến chứng cho bệnh nhân. Đối với khối u xâm lấn sâu, nằm gần các cấu trúc quan trọng khó loại bỏ hết, bác sĩ có thể chỉ định phẫu thuật kết hợp hóa trị, xạ trị bổ sung.
- Xạ trị: Áp dụng với các khối u ác tính, không thể phẫu thuật hoàn toàn hoặc tái phát sau phẫu thuật. Phương pháp này giúp tiêu diệt tế bào còn sót lại và ngăn ngừa khối u phát triển, nhất là trong u màng não độ II và III.
- Hóa trị: Liệu pháp bổ trợ có thể cần thiết để giảm tỷ lệ tái phát ở các khối u màng não chưa được cắt bỏ hoàn toàn và các khối u màng não không điển hình hoặc ác tính. Việc sử dụng bevacizumab, một loại hóa trị liệu để nhắm mục tiêu vào các biến đổi phân tử của yếu tố tăng trưởng nội mô mạch máu ở những bệnh nhân bị khối u màng não anaplastic sau khi cắt bỏ bằng phẫu thuật và xạ trị đã cho thấy kết quả thành công trong việc thoái triển khối u.
- Xạ phẫu lập thể: Xạ phẫu lập thể là công nghệ tiên tiến, sử dụng tia bức xạ tập trung cao độ để loại bỏ u màng não ở nền sọ, u màng não tái phát hoặc cắt bỏ không hoàn toàn. Phương pháp này không khuyến khích trong trường hợp tắc nghẽn xoang tĩnh mạch hoặc liên quan, phù quanh khối u, u màng não kích thước lớn và khối u rất gần với thân não hoặc dây thần kinh sọ.
- Sử dụng thuốc: Trong các trường hợp u tái phát hoặc không đáp ứng với xạ trị và phẫu thuật, bệnh nhân có thể được điều trị bằng thuốc. Nhiều loại thuốc mới đang được thử nghiệm nhằm ức chế sự phát triển của khối u thông qua kiểm soát hormone hoặc ức chế khả năng huy động máu của khối u.

Việc điều trị u màng não phụ thuộc vào loại u, kích thước, vị trí và tình trạng sức khỏe của bệnh nhân
8. Làm thế nào để phòng ngừa bệnh u màng não?
Hiện nay vẫn chưa có biện pháp nào có thể phòng ngừa bệnh lý u màng não. Để giảm thiểu tỷ lệ mắc bệnh hoặc tăng tỷ lệ phát hiện sớm, bác sĩ khuyến cáo những người có nguy cơ cao nên đi thăm khám định kỳ và theo dõi sức khỏe thần kinh thường xuyên.
Một yếu tố nguy cơ có thể phòng ngừa khác được chính là béo phì. Nghiên cứu cho thấy rằng những người có chỉ số khối cơ thể (BMI) từ 30 trở lên có nguy cơ mắc u màng não cao hơn. Do đó, duy trì cân nặng lý tưởng thông qua chế độ ăn uống lành mạnh và vận động thể lực đều đặn có thể là một biện pháp phòng ngừa hiệu quả. Béo phì không chỉ ảnh hưởng đến cân nặng mà còn làm thay đổi các hormone trong cơ thể, làm tăng nguy cơ phát triển các loại bệnh, bao gồm u màng não.
9. Câu hỏi thường gặp về u màng não (FAQ)
Giải đáp các câu hỏi thường gặp về u màng não từ chuyên gia NeoMedic:
9.1. U màng não sống được bao lâu?
Người bệnh mắc u màng não thường có tiên lượng tốt, với tỷ lệ sống sót sau 5 năm >90%. Tuy nhiên, tỷ lệ sống sót thay đổi tùy theo bản chất khối u:
- Đối với u màng não độ I, người bệnh có tuổi thọ gần như bình thường.
- U màng não độ II có tỷ lệ sống sót sau 5 năm khoảng 80%, giảm xuống còn 66% sau 10 năm.
- U màng não độ III hung hãn hơn với tỷ lệ sống sót sau 5 năm chỉ khoảng 55-60%.
Tuổi thọ của người bệnh bị ảnh hưởng bởi vị trí, kích thước và mức độ ác tính của khối u cũng như tình trạng sức khỏe của người bệnh và mức độ xâm lấn khi cắt bỏ khối u.
9.2. U màng não có nguy hiểm không?
Dù đa số là u lành tính, u màng não vẫn được coi là khá nguy hiểm. U màng não phát triển có thể chèn ép nhu mô não gây liệt, mù, rối loạn ngôn ngữ hoặc thậm chí tử vong. Mức độ nguy hiểm phụ thuộc vào vị trí, kích thước và tốc độ phát triển của khối u.
9.3. U màng não có nên mổ không?
Không phải trường hợp u màng não nào cũng có thể phẫu thuật. Bác sĩ sẽ cân nhắc lợi ích và nguy cơ cho người bệnh. U màng não có thể được phẫu thuật khi khối u chèn ép mô não hoặc dây thần kinh gây triệu chứng nghiêm trọng. Ngoài ra, khối u có dấu hiệu tiến triển xấu hoặc phát triển nhanh qua hình ảnh chụp chiếu cũng có thể được chỉ định mổ.
U màng não là một bệnh lý nghiêm trọng, tuy nhiên, việc phát hiện sớm và điều trị kịp thời có thể mang lại kết quả tích cực. Hiểu rõ về các yếu tố nguy cơ và thực hiện các biện pháp phòng ngừa sẽ giúp giảm thiểu khả năng mắc bệnh. Hãy luôn theo dõi sức khỏe định kỳ để bảo vệ bản thân khỏi những rủi ro tiềm ẩn.
Tham khảo: Asayel A. Alruwaili; Orlando De Jesus, 2023. Meningioma. https://www.ncbi.nlm.nih.gov/books/NBK560538/.