U màng não: Triệu chứng, chẩn đoán và lựa chọn điều trị
U màng não là một loại khối u hình thành trên màng não và tủy sống ngay bên trong hộp sọ. Màng não gồm ba lớp, và khối u có thể phát triển trên bất kỳ lớp nào trong số đó.
1. U màng não là gì?
U màng não là một loại khối u hình thành trên màng não – lớp màng bao bọc não và tủy sống ngay bên trong hộp sọ. Màng não gồm ba lớp, và khối u có thể phát triển trên bất kỳ lớp nào trong số đó. Các khối u này thường tăng trưởng chậm và khoảng 80% là lành tính (không phải ung thư).

U màng não là loại khối u phổ biến nhất ở vùng đầu. Do phát triển chậm và thường lành tính, bệnh có thể mất nhiều năm trước khi người bệnh nhận thấy bất kỳ triệu chứng nào
Hầu hết u màng não xuất hiện ở não, nhưng cũng có thể phát triển ở tủy sống.
Trong nhiều trường hợp, u màng não không gây triệu chứng và không cần điều trị ngay lập tức. Tuy nhiên, nếu khối u tiếp tục phát triển, dù lành tính, nó vẫn có thể gây ra các vấn đề nghiêm trọng, thậm chí đe dọa tính mạng trong một số trường hợp.
U màng não là loại khối u phổ biến nhất có nguồn gốc từ hệ thần kinh trung ương, và bệnh này phổ biến ở phụ nữ hơn so với nam giới.
2. Phân loại ung màng não
U màng não được phân loại dựa trên vị trí và mức độ nghiêm trọng của khối u.
U màng não độ 1
Đây là loại phổ biến nhất, chiếm khoảng 80% tổng số trường hợp. Các khối u này thường lành tính (không phải ung thư), phát triển chậm và có ranh giới rõ ràng.
U màng não độ 2 (không điển hình)
Khoảng 15%-20% u màng não thuộc nhóm này. Chúng không hoàn toàn lành tính, nhưng cũng chưa được xem là ác tính (ung thư). Tuy nhiên, các khối u này có thể tiến triển thành ác tính, với nguy cơ tái phát cao và tốc độ phát triển nhanh hơn so với u màng não độ 1.
U màng não độ 3 (dạng biệt hóa kém – anaplastic)
Loại này chiếm khoảng 1%-4% tổng số trường hợp và được coi là ác tính (ung thư). Chúng tăng trưởng nhanh, có xu hướng lan rộng đến các vùng lân cận trong não. Ngoài ra, khối u có thể di căn đến các bộ phận khác của não hoặc lan sang phổi.
3. Nguyên nhân gây u màng não
Hiện nay, các nhà nghiên cứu vẫn chưa xác định chính xác nguyên nhân gây u màng não, nhưng nhìn chung, ung thư thường bắt nguồn từ những biến đổi trong gen.
Các nghiên cứu đã phát hiện rằng, bất thường trên nhiễm sắc thể số 22 – nhiễm sắc thể có vai trò ngăn chặn sự phát triển của khối u – xuất hiện trong khoảng 40%-80% trường hợp u màng não.
Ngoài ra, phơi nhiễm bức xạ, đặc biệt là trong thời thơ ấu, có thể làm tăng nguy cơ mắc bệnh. Những người mắc bệnh u sợi thần kinh loại 2 (Neurofibromatosis type 2 – NF2), một bệnh lý di truyền, cũng có nguy cơ cao phát triển u màng não.
4. Yếu tố nguy cơ gây u màng não
Các yếu tố có thể làm tăng nguy cơ mắc u màng não bao gồm:
Giới tính
U màng não phổ biến hơn ở phụ nữ và những người được xác định giới tính nữ khi sinh (AFAB). Phụ nữ trung niên có nguy cơ mắc bệnh cao gấp hai lần so với nam giới. Nguyên nhân có thể liên quan đến sự ảnh hưởng của hormone nữ. Hầu hết các trường hợp u màng não xuất hiện trong độ tuổi 30 - 70 và hiếm gặp ở trẻ em.
Liệu pháp hormone thay thế
Các hormone estrogen, progesterone và androgen được cho là có vai trò trong sự phát triển của u màng não. Bề mặt tế bào khối u có thụ thể tiếp nhận estrogen và progesterone, khiến khối u phát triển nhanh hơn trong thời kỳ mang thai, khi nồng độ các hormone này tăng cao tự nhiên.
Vì vậy, liệu pháp hormone thay thế cũng có thể góp phần thúc đẩy sự phát triển của u màng não, do cơ thể nhận một lượng hormone cao hơn bình thường.
Phơi nhiễm bức xạ
Nghiên cứu chỉ ra rằng phơi nhiễm bức xạ, đặc biệt ở vùng đầu và cổ, có thể làm tăng nguy cơ phát triển u màng não và các khối u não khác.
Sử dụng thuốc tránh thai
Tương tự liệu pháp hormone thay thế, thuốc tránh thai làm tăng nồng độ hormone trong cơ thể, có thể làm tăng nguy cơ phát triển u màng não.
Ung thư vú
Hiện chưa có bằng chứng cho thấy mối liên hệ trực tiếp giữa ung thư vú và u màng não, nhưng cả hai bệnh này có chung một số yếu tố nguy cơ, bao gồm tuổi tác, giới tính và sự thay đổi hormone.
Chấn thương đầu
Một số nghiên cứu cho thấy chấn thương đầu trước đây có thể là yếu tố nguy cơ gây u màng não. Khối u đôi khi xuất hiện tại vị trí xương sọ bị gãy hoặc những vùng mà màng não đã bị tổn thương. Tuy nhiên, một số nghiên cứu gần đây chưa xác nhận mối liên hệ này.
Tuổi tác
Nguy cơ mắc u màng não tăng theo độ tuổi, phổ biến hơn ở người trên 65 tuổi.
Chủng tộc
Người da đen có nguy cơ mắc u màng não cao hơn so với các nhóm chủng tộc khác.
Béo phì
Mối liên hệ giữa béo phì và u màng não chưa được làm rõ, nhưng béo phì là yếu tố nguy cơ của nhiều loại ung thư. Một số nghiên cứu cho thấy u màng não xảy ra thường xuyên hơn ở những người bị béo phì.
Bệnh di truyền
Những người mắc bệnh u sợi thần kinh loại 2 (Neurofibromatosis type 2 – NF2) có khoảng 50% nguy cơ phát triển u màng não. Ngoài ra, một số bệnh di truyền khác cũng có thể làm tăng nguy cơ mắc bệnh, bao gồm:
- Hội chứng Cowden
- Hội chứng Werner
- Hội chứng Rubinstein-Taybi
- Hội chứng ung thư tế bào đáy (Gorlin syndrome)
Các yếu tố nguy cơ khác
Một số yếu tố khác có thể liên quan đến nguy cơ mắc u màng não, bao gồm:
- Sử dụng điện thoại di động trong thời gian dài
- Mắc bệnh động kinh
- Hút thuốc lá
- Tiếp xúc lâu dài với chì

Cách tiếp cận hiệu quả nhất để điều trị phụ thuộc vào đặc điểm của khối u và các yếu tố cụ thể cho người đó
5. Triệu chứng của u màng não
Hầu hết u màng não phát triển rất chậm, vì vậy các triệu chứng thường xuất hiện từ từ hoặc thậm chí không có triệu chứng trong thời gian dài. Mức độ và loại triệu chứng cụ thể phụ thuộc vào vị trí của khối u trong não.
Những triệu chứng phổ biến nhất bao gồm:
- Đau đầu
- Co giật
- Mờ mắt
- Yếu tay hoặc chân
- Tê bì
- Rối loạn ngôn ngữ (khó nói, nói lắp, mất khả năng diễn đạt)
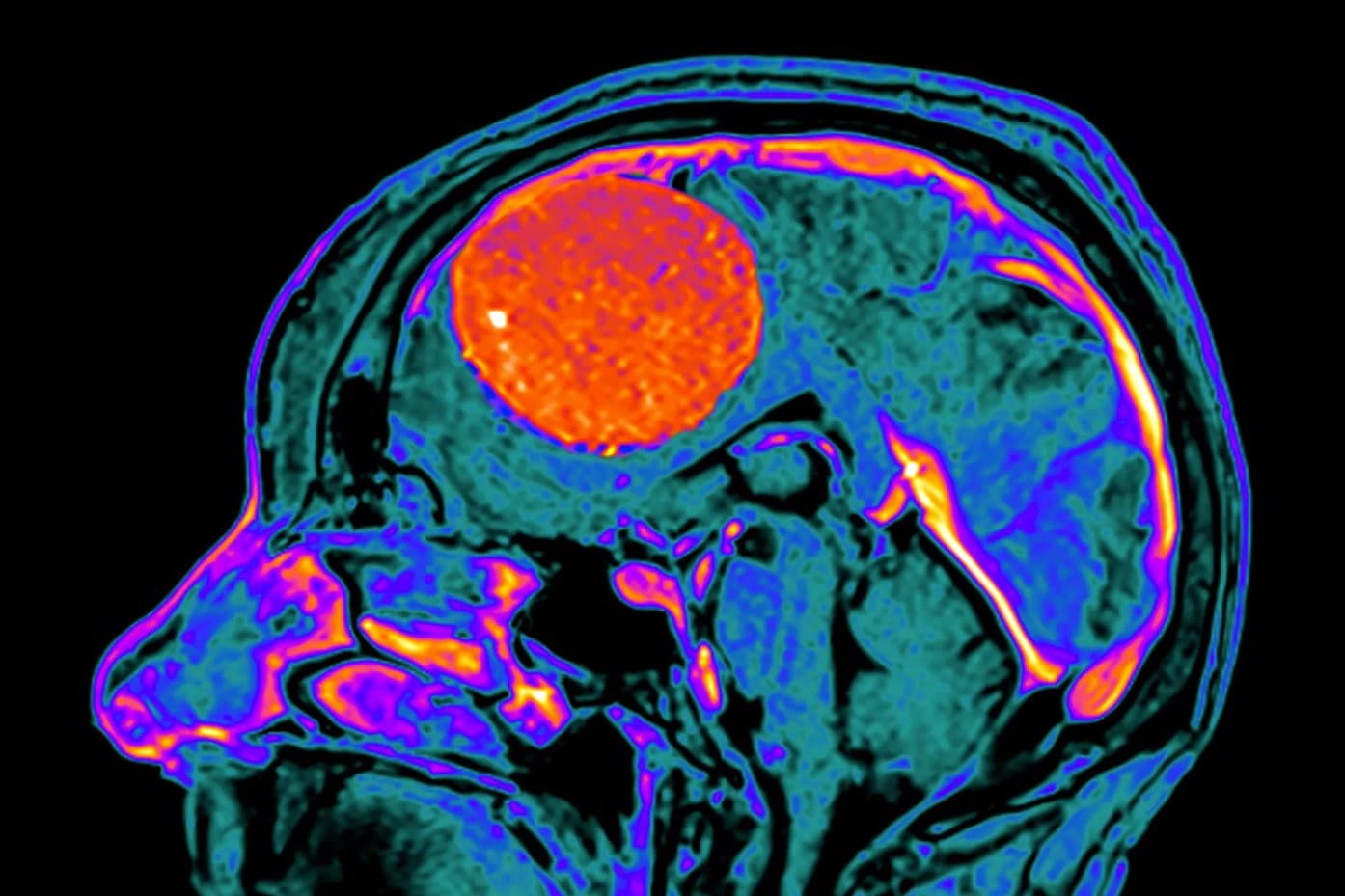
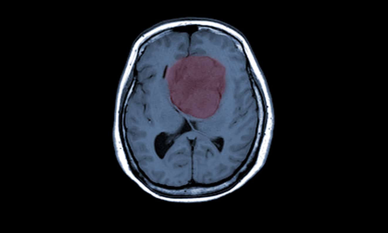
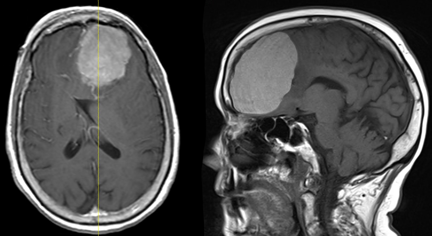
6. Chẩn đoán u màng não
U màng não hiếm khi được phát hiện sớm trước khi xuất hiện triệu chứng.
Nếu có dấu hiệu nghi ngờ khối u, bác sĩ có thể chỉ định chụp MRI và/hoặc CT scan để xác định vị trí và kích thước của khối u.
Trong một số trường hợp, bác sĩ có thể tiến hành sinh thiết. Phẫu thuật viên sẽ lấy một phần hoặc toàn bộ khối u để kiểm tra xem đó là khối u lành tính hay ác tính.
7. Điều trị u màng não
Việc điều trị u màng não phụ thuộc vào nhiều yếu tố, bao gồm kích thước và tốc độ phát triển của khối u, tình trạng sức khỏe, tuổi tác và mong muốn điều trị của bệnh nhân. Các phương pháp điều trị chính bao gồm:
Theo dõi và quan sát
Nếu khối u không gây triệu chứng, bác sĩ thường khuyến nghị theo dõi định kỳ. Bệnh nhân sẽ được chụp não thường xuyên để kiểm tra xem khối u có phát triển hay không. Phẫu thuật có thể được cân nhắc nếu:
- Bệnh nhân xuất hiện triệu chứng như co giật, mờ mắt, ù tai hoặc mất thính lực, suy giảm trí nhớ, đau đầu dữ dội hoặc yếu tay chân.
- Khối u nằm ở vị trí quan trọng, gần tủy sống hoặc mạch máu lớn.
- Khối u là ác tính (ung thư).
Phẫu thuật u màng não
Nếu cần phẫu thuật, bệnh nhân thường được chỉ định mở hộp sọ (craniotomy). Bác sĩ sẽ loại bỏ một phần xương sọ để tiếp cận khối u, sau đó cắt bỏ toàn bộ hoặc phần lớn khối u. Sau phẫu thuật, phần xương sọ được đặt lại về vị trí ban đầu.
Sau phẫu thuật, hướng điều trị tiếp theo sẽ phụ thuộc vào:
- Khối u được loại bỏ hoàn toàn
- Khối u lành tính nhưng vẫn còn một phần nhỏ
- Khối u ác tính hoặc có dấu hiệu phát triển bất thường
Tùy vào vị trí khối u, phẫu thuật có thể tiềm ẩn nhiều rủi ro. Do đó, bệnh nhân cần tham khảo ý kiến bác sĩ để cân nhắc kỹ lưỡng trước khi thực hiện.
Xạ trị (Radiation therapy)
Nếu khối u nằm ở vị trí khó tiếp cận bằng phẫu thuật, xạ trị có thể được sử dụng để thu nhỏ khối u hoặc ngăn chặn sự phát triển của nó. Đối với khối u ác tính, xạ trị giúp tiêu diệt tế bào ung thư. Ngoài ra, phương pháp này cũng có thể được áp dụng để điều trị những phần khối u chưa thể cắt bỏ hoàn toàn.
Hóa trị (Chemotherapy)
Hóa trị hiếm khi được sử dụng để điều trị u màng não, vì chưa có phác đồ tiêu chuẩn cho phương pháp này. Tuy nhiên, trong những trường hợp mà phẫu thuật và xạ trị không mang lại hiệu quả, bác sĩ có thể cân nhắc kết hợp hóa trị để kiểm soát sự phát triển của khối u.
8. Tỷ lệ sống sót khi mắc u màng não
Tỷ lệ sống sót của bệnh nhân mắc u màng não phụ thuộc vào nhiều yếu tố. Dưới đây là tỷ lệ sống sót theo độ tuổi:
- 84% đối với người từ 2–44 tuổi
- 79% đối với người từ 45–54 tuổi
- 74% đối với người từ 55–64 tuổi
Phân tích trên hơn 60.000 bệnh nhân cho thấy tỷ lệ sống sót giảm nếu:
- Khối u nằm ở vị trí khó phẫu thuật
- Khối u có kích thước lớn hoặc là ác tính (ung thư)
- Bệnh nhân lớn tuổi hoặc mắc thêm các bệnh mãn tính
- Bệnh nhân không có bảo hiểm y tế, thường có tiên lượng xấu hơn
Một phân tích trên hơn 60.000 bệnh nhân cho thấy tỷ lệ sống sót giảm tùy thuộc vào vị trí của khối u màng não, kích thước khối u, cũng như việc khối u đó lành tính hay ác tính. Ngoài ra, tuổi tác cao và bệnh lý mãn tính kèm theo cũng làm giảm tiên lượng sống. Đặc biệt, những bệnh nhân không có bảo hiểm y tế thường có kết quả điều trị kém hơn.
Khối u càng có mức độ ác tính thấp, khả năng phẫu thuật kết hợp xạ trị giúp cải thiện tiên lượng bệnh càng cao. Việc loại bỏ hoàn toàn khối u và các mô bị ảnh hưởng cũng góp phần giảm nguy cơ tái phát đáng kể. Trong những năm gần đây, nhờ các phương pháp điều trị tiên tiến, tỷ lệ sống sót sau 10 năm của bệnh nhân mắc u màng não ác tính đã có sự cải thiện đáng kể.

Tiên lượng sống của bệnh nhân mắc u màng não phụ thuộc vào nhiều yếu tố
9. Biến chứng của u màng não
U màng não thường phát triển chậm, vì vậy ban đầu người bệnh có thể không nhận thấy triệu chứng. Tuy nhiên, khi khối u tăng kích thước và bắt đầu tác động đến các vùng não xung quanh, các triệu chứng sẽ dần xuất hiện, tùy thuộc vào vị trí của khối u.
Những triệu chứng có thể gặp phải:
- Liệt chi dưới
- Mất khứu giác
- Lồi mắt
Các triệu chứng phổ biến hơn:
- Rối loạn thị giác (nhìn đôi, mờ mắt, mất thị lực)
- Mất thính lực
- Đau đầu
- Buồn nôn, nôn mửa, chóng mặt
- Co giật
- Thay đổi tính cách hoặc hành vi
- Suy giảm trí nhớ
- Rối loạn thần kinh (yếu cơ, giảm trương lực cơ, phản xạ kém hoặc mất phản xạ)
Phẫu thuật loại bỏ u màng não có thể dẫn đến một số biến chứng, bao gồm:
- Sưng hoặc tích tụ dịch trong não, có thể gây tổn thương não
- Tổn thương dây thần kinh, ảnh hưởng đến thị lực, thính giác, cử động cơ mặt hoặc khả năng nuốt
- Tổn thương mô não bình thường, gây ra các vấn đề thần kinh
- Nhiễm trùng
- Rò rỉ dịch não tủy
- Xuất huyết não
- Các triệu chứng thần kinh trở nên nghiêm trọng hơn
- Tăng nguy cơ hình thành cục máu đông trong tĩnh mạch hoặc phổi
10. Lời kết
U màng não là một khối u hình thành trên màng não – lớp màng nằm ngay bên trong hộp sọ, bao bọc não và tủy sống. Hầu hết u màng não phát triển chậm, có thể tồn tại trong nhiều năm trước khi gây ra triệu chứng.
Khoảng 80% trường hợp là u lành tính (không phải ung thư), nhưng vẫn có thể ảnh hưởng đến giác quan, trí nhớ và chức năng thần kinh. Nếu đột ngột xuất hiện các triệu chứng như co giật, rối loạn thị giác hoặc suy giảm trí nhớ, hãy đến gặp bác sĩ ngay để được kiểm tra và điều trị kịp thời.
11. Câu hỏi thường gặp về u màng não
U màng não có phải là ung thư không?
U màng não là một loại khối u phát triển trên màng não – lớp màng nằm giữa hộp sọ, não và tủy sống. Về mặt kỹ thuật, đây không phải là khối u trong não, nhưng khi phát triển, chúng có thể chèn ép mô não, dây thần kinh và mạch máu lân cận, gây ra các triệu chứng. U màng não là loại khối u phổ biến nhất ở vùng đầu, trong đó khoảng 80% là lành tính (không phải ung thư).
Khi nào cần phẫu thuật u màng não?
Do u màng não thường phát triển chậm, quyết định có cần phẫu thuật hay không phụ thuộc vào nhiều yếu tố, bao gồm:
- Kích thước và tốc độ phát triển của khối u
- Tuổi tác và tình trạng sức khỏe của bệnh nhân
- Khối u có gây ảnh hưởng đến chức năng thần kinh hay không
Tuổi thọ sau khi phẫu thuật u màng não là bao lâu?
Tiên lượng bệnh phụ thuộc vào việc khối u lành tính hay ác tính và khả năng loại bỏ hoàn toàn khối u trong quá trình phẫu thuật. Tỷ lệ sống sót theo độ tuổi của bệnh nhân mắc u màng não là:
- 84% đối với người từ 20-44 tuổi
- 79% đối với người từ 45-54 tuổi
- 74% đối với người từ 55-64 tuổi
MRI có thể xác định u màng não là lành tính hay ác tính không?
Chụp MRI và CT scan có thể giúp phân biệt u màng não lành tính hay ác tính. Tuy nhiên, sinh thiết phẫu thuật vẫn là phương pháp chính xác nhất để xác định bản chất của khối u.
U màng não lành tính có thể gây tử vong không?
Những người mắc u màng não lành tính có nguy cơ tử vong chủ yếu do các bệnh lý khác, chẳng hạn như bệnh tim mạch, đột quỵ hoặc sa sút trí tuệ. Theo một nghiên cứu dân số, dưới 9% bệnh nhân tử vong do u màng não lành tính.
Làm thế nào để phòng ngừa u màng não?
Hiện nay, các bác sĩ vẫn chưa xác định chính xác nguyên nhân gây ra u màng não. Tuy nhiên, nhiều nghiên cứu cho thấy bệnh có thể liên quan đến yếu tố di truyền, hormone hoặc môi trường.
Những nhóm người có nguy cơ mắc u màng não cao hơn bao gồm:
- Người trên 65 tuổi
- Phụ nữ và những người được xác định giới tính nữ khi sinh (AFAB)
- Người da đen
- Những người từng phơi nhiễm bức xạ vùng đầu
- Người có tiền sử gia đình mắc u màng não hoặc các bệnh di truyền liên quan
Nguồn: https://www.webmd.com/cancer/brain-cancer/meningioma-causes-symptoms-treatment