Siêu âm gan nhiễm mỡ: Giải mã những dấu hiệu bất thường của gan
Tìm hiểu siêu âm gan nhiễm mỡ - phương pháp không xâm lấn, nhanh chóng phát hiện các dấu hiệu bệnh gan hiệu quả.
Gan nhiễm mỡ là một trong những căn bệnh của thời hiện đại, đe dọa sức khỏe của hàng triệu người. Theo thống kê, số người mắc bệnh gan nhiễm mỡ đang tăng lên đáng báo động. Siêu âm gan nhiễm mỡ không chỉ giúp phát hiện sớm bệnh mà còn đánh giá mức độ tổn thương của gan, hỗ trợ bác sĩ đưa ra phác đồ điều trị phù hợp
1. Thông tin chung về bệnh gan nhiễm mỡ
Gan nhiễm mỡ là tình trạng mỡ tích tụ quá mức trong gan, vượt ngưỡng bình thường (chiếm trên 5% trọng lượng gan). Gan nhiễm mỡ có thể xuất hiện ở mọi độ tuổi, nhưng phổ biến hơn ở người trưởng thành trên 45 tuổi, đặc biệt là những người có lối sống không lành mạnh.
Gan nhiễm mỡ hiện là một trong những bệnh lý phổ biến nhất toàn cầu, với tỷ lệ gia tăng đáng báo động. Tại Việt Nam, ước tính có khoảng 20-30% dân số mắc bệnh, đặc biệt là ở nhóm người béo phì, tiểu đường hoặc sử dụng rượu bia thường xuyên.
Gan nhiễm mỡ hình thành do sự mất cân bằng giữa việc sản xuất và chuyển hóa chất béo trong gan. Nguyên nhân chính dẫn đến tình trạng gan nhiễm mỡ bao gồm:
- Gan nhiễm mỡ do rượu: Lạm dụng rượu bia gây tổn thương gan, dẫn đến suy giảm chức năng chuyển hóa mỡ.
- Gan nhiễm mỡ không do rượu: Xuất phát từ rối loạn chuyển hóa mỡ của gan, gây ra do các nguyên nhân thừa cân, béo phì, rối loạn lipid máu, tiểu đường tuýp 2, dinh dưỡng không lành mạnh (chế độ ăn nhiều đường, chất béo xấu) hoặc tác dụng phụ của thuốc (Steroids, Aspirin, Tamoxifen,...).
- Nguyên nhân khác: Gan nhiễm mỡ cấp tính khi mang thai (thường gặp trong 3 tháng cuối thai kỳ) thường xuất phát từ di truyền hoặc rối loạn chuyển hóa.
Gan nhiễm mỡ thường không có triệu chứng rõ ràng ở giai đoạn đầu, nhưng khi bệnh tiến triển, người bệnh có thể gặp các biểu hiện sau đây:
- Cảm giác nặng nề hoặc đau nhẹ vùng hạ sườn phải.
- Mệt mỏi, chán ăn, buồn nôn.
- Vàng da, vàng mắt trong trường hợp nghiêm trọng.
- Đầy bụng, bụng to hơn.
- Sụt cân
Nếu không được phát hiện và điều trị kịp thời, bệnh gan nhiễm mỡ có thể gây tổn thương khó hồi phục ở gan, tiến triển thành xơ gan, suy gan, thậm chí ung thư gan đe dọa tính mạng người bệnh. Bên cạnh đó, gan nhiễm mỡ liên quan mật thiết đến nguy cơ các bệnh tăng huyết áp và tim mạch khác.
Vì vậy, việc khám sức khỏe định kỳ, nhận biết sớm các dấu hiệu bệnh và can thiệp kịp thời đóng vai trò quan trọng trong việc ngăn ngừa các biến chứng nguy hiểm từ gan nhiễm mỡ.

Gan nhiễm mỡ là tình trạng mỡ tích tụ quá mức trong gan
2. Siêu âm gan nhiễm mỡ - phương pháp chẩn đoán phổ biến
Chẩn đoán gan nhiễm mỡ thường kết hợp nhiều phương pháp như khám lâm sàng, xét nghiệm máu, siêu âm,... Trong đó, siêu âm là một trong những phương pháp đang được áp dụng rộng rãi nhất hiện nay.
Siêu âm ổ bụng là kỹ thuật chẩn đoán hình ảnh sử dụng sóng âm tần số cao để tạo ra hình ảnh chi tiết của các cơ quan trong ổ bụng, bao gồm gan, thận, tụy và lá lách. Đây là một phương pháp không xâm lấn, an toàn và thường được sử dụng rộng rãi để đánh giá tình trạng sức khỏe nội tạng.
Với công nghệ hiện đại, siêu âm không chỉ giúp quan sát hình ảnh mà còn hỗ trợ đo lường, đánh giá kích thước và các bất thường trong cấu trúc cơ quan.
Siêu âm đặc biệt hữu ích trong phát hiện sớm nhiều bệnh lý, bao gồm gan nhiễm mỡ. Khi thực hiện siêu âm, bác sĩ sử dụng đầu dò siêu âm đặt lên vùng bụng phải để quan sát gan và các cấu trúc liên quan. Hình ảnh thu được sẽ hiển thị trên màn hình, cho phép bác sĩ đánh giá chi tiết tình trạng gan, xác định tổn thương nếu có. Cụ thể:
- Xác định mức độ mỡ tích tụ trong gan: Siêu âm giúp đánh giá mức độ nhiễm mỡ từ nhẹ, vừa đến nặng thông qua hình ảnh phản xạ sóng âm.
- Quan sát cấu trúc và tổn thương gan: Siêu âm giúp bác sĩ có thể phát hiện các bất thường như xơ hóa, sưng gan hoặc các tổn thương kèm theo. Tổn thương gan được phát hiện trên siêu âm dựa trên mối liên quan với động mạch chủ với tĩnh mạch dưới, tĩnh mạch trên và tĩnh mạch cửa của gan.
- Hỗ trợ theo dõi điều trị: Siêu âm gan nhiễm mỡ đóng vai trò quan trọng trong việc xác định mức độ nhiễm mỡ và hỗ trợ bác sĩ lên kế hoạch điều trị phù hợp. Bên cạnh đó, bằng cách thực hiện siêu âm định kỳ, bác sĩ có thể đánh giá hiệu quả của các biện pháp điều trị, thay đổi lối sống và chế độ dinh dưỡng đang áp dụng.
Ưu điểm của siêu âm gan nhiễm mỡ:
- An toàn, không xâm lấn: Siêu âm sử dụng sóng âm thay vì bức xạ, giúp giảm thiểu rủi ro cho người bệnh.
- Chi phí thấp: So với các kỹ thuật khác như CT hoặc MRI, siêu âm có chi phí hợp lý và phù hợp với đại đa số người bệnh.
- Thực hiện nhanh chóng: Quá trình siêu âm chỉ mất từ 10-15 phút, không gây đau.

Siêu âm đặc biệt hữu ích trong phát hiện sớm nhiều bệnh lý, bao gồm gan nhiễm mỡ
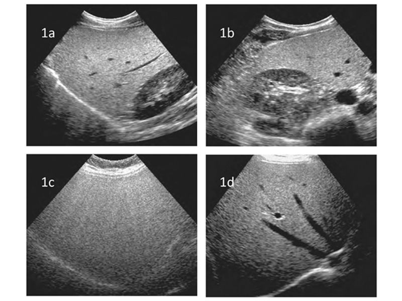
3. Hình ảnh siêu âm gan nhiễm mỡ như thế nào?
Siêu âm là phương pháp chẩn đoán phổ biến, giúp xác định tình trạng gan nhiễm mỡ thông qua các hình ảnh đặc trưng của nhu mô gan. Các đặc điểm hình ảnh siêu âm của gan nhiễm mỡ bao gồm:
- Hình ảnh nhu mô gan sáng và dày hơn (tăng độ hồi âm của nhu mô gan): Mô gan bị nhiễm mỡ phản xạ sóng âm mạnh hơn mô gan bình thường, tạo nên hình ảnh sáng hơn trên siêu âm. Độ hồi âm của gan vượt trội so với vỏ thận hoặc lách. Hình thái gan xuất hiện các đốm sáng rải rác hoặc khu trú.
- Giảm độ nét của cấu trúc gan: Đường bờ của các mạch máu, cơ hoành hoặc tĩnh mạch cửa bị mờ đi. Khả năng phân định chi tiết trong gan suy giảm, đặc biệt ở mức độ nhiễm mỡ cao.
- Kích thước gan thay đổi: Siêu âm có thể phát hiện tình trạng gan to (hepatomegaly) do sự tích tụ mỡ, bờ gan tròn và nhẵn.
Dựa vào tình trạng tăng độ sáng này của nhu mô gan, bác sĩ có thể đánh giá mức độ gan nhiễm mỡ như sau:
- Mức độ 1 (nhẹ): Gan tăng âm nhẹ, hút âm thay đổi không đáng kể, vẫn thấy rõ cơ hoành và đường bờ các tĩnh mạch.
- Mức độ 2 (trung bình): Hồi âm của nhu mô gan lan tỏa mạnh hơn, hút âm gia tăng, giảm khả năng xác định bờ tĩnh mạch trong gan và cơ hoành.
- Mức độ 3 (nặng): Hồi âm của gan lan toả rõ rệt, đường bờ các mạch máu, cơ hoành và một phần nhu mô gan ở phân thùy sau gan phải không còn nhận diện được.

Siêu âm giúp xác định tình trạng gan nhiễm mỡ thông qua các hình ảnh đặc trưng của nhu mô gan
4. Kết quả siêu âm có chính xác khi chẩn đoán gan nhiễm mỡ không?
Siêu âm gan là một trong những phương pháp phổ biến nhất để phát hiện và đánh giá gan nhiễm mỡ nhờ vào độ nhạy và độ chính xác cao. Phương pháp này không xâm lấn, dễ thực hiện và mang lại kết quả nhanh chóng, giúp xác định được sự tích tụ mỡ trong gan. Tuy nhiên, như bất kỳ phương pháp nào, siêu âm cũng có những giới hạn nhất định.
Siêu âm có độ nhạy từ 60-94% và độ đặc hiệu từ 84-95% trong việc phát hiện gan nhiễm mỡ ở mức trung bình đến nặng. Với những trường hợp gan nhiễm mỡ mức độ nhẹ, độ nhạy của siêu âm giảm, khiến việc phát hiện sớm trở nên khó khăn hơn.
Bên cạnh đó kết quả siêu âm phụ thuộc rất nhiều vào kinh nghiệm và tay nghề của bác sĩ siêu âm. Ngoài ra, siêu âm chỉ có thể quan sát và đánh giá mức độ mỡ tích tụ trong gan mà không thể định lượng chính xác lượng mỡ.
Mặc dù siêu âm là phương pháp chẩn đoán hiệu quả, trong một số trường hợp phức tạp hoặc cần xác định chi tiết mức độ tổn thương gan, bác sĩ có thể chỉ định thêm các kỹ thuật tiên tiến như:
- CT Scan hoặc MRI: Cung cấp hình ảnh rõ nét, chi tiết hơn về cấu trúc gan.
- Siêu âm đàn hồi mô gan (FibroScan): Đánh giá độ cứng của gan, từ đó giúp xác định mức độ tổn thương gan, bao gồm cả xơ gan.
Sự kết hợp này giúp đảm bảo tính chính xác và đầy đủ trong việc đánh giá chức năng cũng như mức độ tổn thương gan.

Siêu âm gan là một trong những phương pháp phổ biến nhất để phát hiện và đánh giá gan nhiễm mỡ
5. Lưu ý khi siêu âm gan nhiễm mỡ
Để đảm bảo kết quả siêu âm gan nhiễm mỡ chính xác và đáng tin cậy, người bệnh cần lưu ý:
- Nhịn ăn trước siêu âm: Người bệnh thường được yêu cầu nhịn ăn từ 6-8 giờ trước khi siêu âm. Điều này giúp giảm lượng khí và dịch mật trong đường ruột, làm rõ hình ảnh gan trên màn hình siêu âm.
- Mặc quần áo thoải mái: Nên chọn trang phục rộng rãi, dễ dàng để thực hiện quá trình siêu âm ở vùng bụng.
- Thực hiện theo hướng dẫn trong quá trình siêu âm: Người bệnh cần nằm đúng tư thế và thực hiện các động tác theo chỉ dẫn của bác sĩ (như hít thở sâu) để hỗ trợ ghi nhận hình ảnh gan rõ ràng nhất.
Ngoài ra, người bệnh nên thực hiện siêu âm tại các cơ sở y tế chất lượng, có trang thiết bị hiện đại và bác sĩ chuyên môn cao để đảm bảo kết quả chẩn đoán đáng tin cậy.

Người bệnh nên thực hiện siêu âm tại các cơ sở y tế chất lượng
Siêu âm gan nhiễm mỡ là phương pháp hữu ích giúp bạn theo dõi sức khỏe lá gan và điều trị kịp thời. Để phòng ngừa và điều trị hiệu quả bệnh gan nhiễm mỡ, hãy duy trì lối sống lành mạnh, khám sức khỏe định kỳ và thực hiện siêu âm gan theo khuyến cáo của bác sĩ.
Trung tâm Y khoa NeoMedic với đội ngũ bác sĩ giàu kinh nghiệm và trang thiết bị hiện đại sẵn sàng đồng hành cùng bạn trong hành trình chăm sóc sức khỏe. Liên hệ ngay Hotline 024 73 036 630 - 096 863 6630 để đặt lịch hẹn khám.