Tổng quan về u xương dạng xương
U xương dạng xương là một dạng tổn thương lành tính của hệ xương, chiếm khoảng 10% các trường hợp u xương lành tính.
1. U xương dạng xương là gì?
U xương dạng xương (Osteoid osteoma) là một loại u xương lành tính dạng ổ nhỏ, thường có kích thước dưới 2cm và đa phần xuất hiện ở các xương dài như xương đùi và xương chày. Mặc dù ít gặp hơn, khối u cũng có thể xuất hiện ở cột sống hoặc các vị trí khác như bàn chân và xương sọ.
U xương dạng xương không có khả năng xâm lấn hoặc chuyển thành ác tính. Ổ u này thường được bao bọc bởi một lớp xương cứng phản ứng, chia thành ba loại chính: vỏ, xốp, và dưới màng xương. Mặc dù không gây nguy hiểm đến tính mạng, nhưng nếu không được phát hiện và điều trị kịp thời, bệnh có thể gây đau dai dẳng, thậm chí vẹo cột sống và ảnh hưởng lớn đến chất lượng cuộc sống.
U xương dạng xương thường gặp ở người trẻ dưới 25 tuổi (~90%), trong đó tỷ lệ mắc ở nam giới cao gấp 2-3 lần so với nữ giới. Được bác sĩ Jaffe mô tả lần đầu vào năm 1935, u xương dạng xương hiện nay đã được nghiên cứu sâu rộng và có nhiều phương pháp điều trị hiệu quả.

U xương dạng xương không có khả năng xâm lấn hoặc chuyển thành ác tính.
2. Nguyên nhân gây u xương dạng xương
Hiện nay, nguyên nhân chính xác gây ra u xương dạng xương vẫn chưa được xác định rõ ràng. Tuy nhiên, nhiều giả thuyết đã được đưa ra nhằm giải thích sự hình thành của khối u này:
- Sự phát triển bất thường của tế bào xương: Một số nghiên cứu cho rằng sự bất thường trong quá trình phát triển của tế bào xương có thể dẫn đến sự hình thành khối u, do các tế bào không tuân theo cơ chế chết tế bào tự nhiên hoặc phát triển quá mức.
- Tiền sử chấn thương: Trên thực tế, có khoảng 30% bệnh nhân mắc u xương dạng xương có tiền sử chấn thương tại khu vực bị ảnh hưởng. Tuy nhiên, vẫn cần thêm nghiên cứu để khẳng định mối liên hệ giữa chấn thương và sự phát triển của khối u.
- Đáp ứng miễn dịch ở xương: Viêm nhiễm tại xương có thể là yếu tố kích hoạt sự hình thành u xương dạng xương. Khi xương bị viêm, cơ thể sẽ phản ứng bằng cách tạo ra các khối mô bất thường để đáp ứng với tổn thương, dẫn đến sự phát triển của khối u lành tính. Các nghiên cứu cũng chỉ ra rằng khối u chứa lượng prostaglandin (chất trung gian gây viêm) rất cao, có thể cao gấp hàng trăm lần so với xương bình thường. Chính prostaglandin là tác nhân kích thích dây thần kinh xung quanh khối u, làm tăng lưu lượng máu và gây ra những cơn đau điển hình, đặc biệt vào ban đêm.

Hiện nay, nguyên nhân chính xác gây ra u xương dạng xương vẫn chưa được xác định rõ ràng.
3. Triệu chứng u xương dạng xương
U xương dạng xương thường biểu hiện với triệu chứng chính là đau xương liên tục, nhiều mức độ đau khác nhau ở vùng khối u, đặc biệt tăng dần về đêm và thuyên giảm khi sử dụng thuốc giảm đau như aspirin hoặc NSAID. Cơn đau có thể âm ỉ, kéo dài trong nhiều tuần đến nhiều năm, gây ảnh hưởng lớn đến sinh hoạt hàng ngày và chất lượng cuộc sống của người bệnh. Đáng chú ý, khoảng 29% bệnh nhân bị thức giấc do đau, làm gián đoạn giấc ngủ và dẫn đến tình trạng mệt mỏi kéo dài.
Ngoài triệu chứng đau, người bệnh có thể gặp phải sưng nhẹ tại vị trí khối u, kèm theo cảm giác tăng nhiệt độ da, đổ mồ hôi nhiều và đau khi chạm vào. Những biểu hiện này là kết quả của sự gia tăng cung cấp máu đến khu vực có khối u, dẫn đến phản ứng viêm tại chỗ.
Triệu chứng của u xương dạng xương có sự biến đổi tùy thuộc vào vị trí khối u trong cơ thể:
- Ở khớp: triệu chứng của viêm màng hoạt dịch, tràn dịch khớp như cứng khớp và co rút mô cơ xung quanh khớp, khiến bệnh nhân đau và cứng khớp khi vận động.
- Ở cột sống: Bệnh nhân có thể bị đau lưng, đau cổ, cong vẹo cột sống, các cơn đau lan xuống chi dưới, dễ nhầm lẫn với triệu chứng của thoát vị đĩa đệm.
- Ở bàn tay và ngón tay: U xương dạng xương có thể gây ra hiện tượng viêm khớp, biến dạng ngón tay như ngón tay dùi trống, ảnh hưởng đến khả năng cầm nắm và vận động.
- Ở xương dài (xương đùi, xương chày): Bệnh có thể gây khập khiễng khi đi lại, thậm chí chênh lệch chiều dài chi, do khối u kích thích sự phát triển bất thường của xương. Tuy nhiên, khối u phát triển ở thời điểm sau tuổi dậy thì thường không ảnh hưởng đến chiều dài chi.
- Triệu chứng khác: Teo cơ.

U xương dạng xương thường gây đau xương liên tục, nhiều mức độ đau khác nhau.
4. U xương dạng xương ảnh hưởng như thế nào tới sức khỏe?
U xương dạng xương tuy là một bệnh lý lành tính, nhưng nếu không được điều trị kịp thời, căn bệnh này có thể gây ra những ảnh hưởng đáng kể đến sức khỏe và chất lượng cuộc sống của người bệnh. Tình trạng đau nhức không chỉ làm suy giảm chất lượng giấc ngủ mà còn ảnh hưởng đến khả năng vận động, sinh hoạt hàng ngày của bệnh nhân, dẫn tới căng thẳng, mệt mỏi kéo dài và làm suy giảm sức khỏe tổng thể.
Trong một số trường hợp, nếu khối u xuất hiện ở gần các vùng xương chịu lực như đầu xương đùi hoặc xương chày, có thể gây biến dạng cấu trúc xương, làm thay đổi chiều dài chi, dẫn đến dáng đi không cân đối hoặc thậm chí ảnh hưởng đến khả năng vận động lâu dài. Đối với trẻ em, sự khác biệt về chiều dài giữa hai chi có thể ảnh hưởng đến sự phát triển toàn diện của hệ cơ xương khớp, gây khó khăn trong sinh hoạt và học tập, đồng thời khiến trẻ tự ti và ảnh hưởng đến sự phát triển tâm sinh lý.
Hiện nay, phương pháp điều trị phổ biến là cắt đốt u xương dạng xương bằng sóng cao tần (RFA). Tuy nhiên, dù hiệu quả cao và ít xâm lấn, phương pháp này vẫn tiềm ẩn một số rủi ro nhất định. Các biến chứng hiếm gặp có thể bao gồm tổn thương mô mềm xung quanh, viêm nhiễm, bỏng da hoặc thậm chí tổn thương thần kinh nếu không được thực hiện đúng kỹ thuật.
Việc phát hiện và điều trị sớm u xương dạng xương có vai trò quan trọng trong việc phòng ngừa biến chứng và duy trì chất lượng cuộc sống. Bệnh nhân nên thăm khám định kỳ và tuân thủ chỉ định điều trị của bác sĩ để đạt hiệu quả tối ưu và tránh các rủi ro không mong muốn.

U xương dạng xương có thể gây ra những ảnh hưởng đáng kể đến sức khỏe và chất lượng cuộc sống của người bệnh.
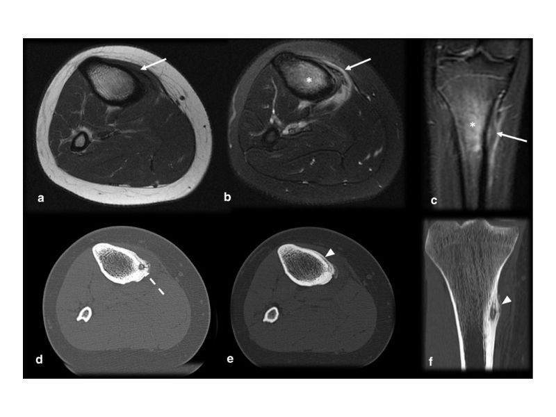
5. Chẩn đoán u xương dạng xương
Chẩn đoán u xương dạng xương đòi hỏi sự kết hợp giữa thăm khám lâm sàng và các phương pháp chẩn đoán hình ảnh hiện đại. Trong đó, chụp X-quang thường là phương pháp đầu tiên được chỉ định nhằm phát hiện tổn thương điển hình của u xương dạng xương. Hình ảnh X-quang cho thấy một khối tổn thương nhỏ, tròn, có vùng trung tâm sáng (nidus) không cản quang với xơ cứng xung quanh. Tuy nhiên, độ nhạy của X-quang khá thấp, dẫn đến khó phát hiện sớm căn bệnh này.
Các biện pháp khác được sử dụng để chẩn đoán u xương dạng xương:
- Chụp cắt lớp vi tính (CT scan) là công cụ quan trọng trong chẩn đoán chính xác vị trí khối u, đặc biệt trong các trường hợp tổn thương nằm ở cột sống hoặc khớp háng. CT cho phép xác định ổ nidus với hình ảnh đặc trưng là vùng xơ cứng bao quanh tổn thương hình bia, giúp phân biệt với các bệnh lý xương khác. Chụp CT có cản quang còn cung cấp thêm thông tin về tưới máu của khối u, hỗ trợ đánh giá mức độ lan rộng.
- Chụp cộng hưởng từ (MRI) được sử dụng để đánh giá tổn thương mô mềm liên quan, nhưng hiệu quả trong việc xác định nidus không cao bằng CT. MRI thường được chỉ định khi có nghi ngờ tổn thương xương phức tạp hoặc cần loại trừ các bệnh lý khác.
- Chụp xạ hình xương (bone scan) là phương pháp có độ nhạy cao, có thể xác định nidus nhỏ hơn 2mm và đặc trưng bởi hình ảnh "dấu hiệu mật độ kép" – vùng hấp thụ mạnh ở trung tâm và vùng hấp thụ kém ở ngoại vi.
- Trong trường hợp khó khăn trong việc xác định nidus bằng các phương pháp trên, chụp động mạch (arteriography) có thể được chỉ định nhằm xác định giai đoạn mạch máu của khối u, đặc biệt khi có xơ cứng quá mức che lấp tổn thương trên X-quang hoặc CT.
Ngoài các phương pháp chẩn đoán hình ảnh, chẩn đoán mô bệnh học là tiêu chuẩn vàng giúp khẳng định bản chất lành tính của u xương dạng xương. Dưới kính hiển vi, nidus thường có cấu trúc giàu mạch máu, chứa các tế bào hủy xương dày đặc xen lẫn mô xương xơ cứng.
Chẩn đoán phân biệt cần được thực hiện nhằm loại trừ các bệnh lý như viêm tủy xương, áp xe Brodie, u nguyên bào xương lành tính và ác tính (osteoblastoma, osteosarcoma) hoặc các tổn thương xơ cứng khác như đảo xương (enostosis). Việc kết hợp các phương pháp chẩn đoán phù hợp giúp phát hiện chính xác u xương dạng xương và đưa ra hướng điều trị hiệu quả.

Chẩn đoán u xương dạng xương kết hợp khám lâm sàng và chẩn đoán hình ảnh.
6. Điều trị u xương dạng xương như thế nào?
Việc điều trị u xương dạng xương có thể áp dụng phương pháp nội khoa hoặc ngoại khoa, tùy thuộc vào mức độ nghiêm trọng và đáp ứng của bệnh nhân.
6.1. Điều trị nội khoa
Sử dụng thuốc giảm đau và thuốc chống viêm không steroid (NSAIDs) như ibuprofen, naproxen, hoặc aspirin là biện pháp điều trị ban đầu. Phương pháp này giúp kiểm soát cơn đau hiệu quả, đặc biệt đối với những bệnh nhân có triệu chứng nhẹ. Tuy nhiên, việc sử dụng NSAIDs kéo dài có thể gây tác dụng phụ như loét dạ dày hoặc ảnh hưởng chức năng gan, thận. Do đó, cần theo dõi chặt chẽ và điều chỉnh liều lượng phù hợp.
6.2. Điều trị ngoại khoa
Khi điều trị nội khoa không mang lại hiệu quả hoặc khối u ảnh hưởng đến sinh hoạt, can thiệp ngoại khoa là lựa chọn tối ưu cho bệnh nhân. Hiện nay, phương pháp cắt bỏ khối u bằng sóng cao tần (RFA) dưới hướng dẫn CT được coi là tiêu chuẩn vàng. Phương pháp này cho phép loại bỏ ổ tổn thương một cách chính xác, ít xâm lấn, thời gian phục hồi nhanh và hạn chế tối đa nguy cơ tái phát. Tỷ lệ thành công của RFA lên tới 90%.
Ngoài ra, bác sĩ có thể chỉ định một số phương pháp khác như phẫu thuật loại bỏ khối u dạng xương sử dụng đồng vị phóng xạ hoặc phẫu thuật dưới sự hỗ trợ của máy tính. Các phương pháp phẫu thuật truyền thống như nạo u xương vẫn được áp dụng trong một số trường hợp phức tạp. Tuy nhiên, phương pháp này có thể gây tổn thương đến xương lành, làm suy giảm chức năng vận động, cần thời gian hồi phục dài hơn.
6.3. Theo dõi sau điều trị
Dù áp dụng phương pháp nào, bệnh nhân cần được theo dõi định kỳ bằng chụp X-quang hoặc CT mỗi 3 - 6 tháng để kiểm tra tiến triển và phát hiện nguy cơ tái phát. Trong một số trường hợp, bác sĩ có thể chỉ định các xét nghiệm bổ sung để đánh giá chức năng xương và mức độ đáp ứng điều trị.
Nhìn chung, lựa chọn phương pháp điều trị u xương dạng xương cần dựa trên tình trạng cụ thể của bệnh nhân, mức độ ảnh hưởng của khối u và sự tư vấn từ bác sĩ chuyên khoa để đảm bảo hiệu quả cao nhất và hạn chế biến chứng.

Việc điều trị u xương phụ thuộc vào mức độ nghiêm trọng và đáp ứng của bệnh nhân.
7. Làm thế nào để phòng ngừa bệnh u xương dạng xương?
U xương dạng xương là một khối u lành tính, nguyên nhân chính xác gây bệnh hiện vẫn chưa được xác định rõ ràng. Tuy nhiên, việc áp dụng một lối sống lành mạnh có thể góp phần hỗ trợ sức khỏe xương và giảm nguy cơ mắc bệnh:
- Duy trì chế độ dinh dưỡng hợp lý: Chế độ ăn giàu canxi, vitamin D và các khoáng chất thiết yếu như magie, photpho có vai trò quan trọng trong việc duy trì mật độ xương chắc khỏe. Bổ sung các thực phẩm như sữa, chế phẩm từ sữa, cá hồi, rau lá xanh và các loại hạt sẽ giúp cải thiện sức khỏe xương, hạn chế nguy cơ hình thành các bất thường ở xương.
- Vận động thường xuyên: Luyện tập thể dục thể thao đều đặn, đặc biệt là các bài tập chịu trọng lượng như đi bộ, chạy bộ hoặc tập tạ, giúp tăng cường sức mạnh của hệ cơ xương, đồng thời kích thích quá trình tái tạo xương. Việc duy trì hoạt động thể chất cũng giúp giảm thiểu các yếu tố nguy cơ gây tổn thương xương.
- Kiểm soát chấn thương xương: Những chấn thương lặp đi lặp lại có thể làm tăng nguy cơ phát triển các tổn thương xương, trong đó có u xương dạng xương. Vì vậy, cần cẩn thận trong các hoạt động thể chất, đặc biệt là khi tham gia các môn thể thao có nguy cơ va chạm cao. Sử dụng các dụng cụ bảo hộ khi cần thiết để bảo vệ xương khớp khỏi những tổn thương không đáng có.
- Thường xuyên kiểm tra sức khỏe xương: Thực hiện các kiểm tra sức khỏe định kỳ, đặc biệt đối với những người có tiền sử gia đình mắc bệnh về xương hoặc gặp phải các triệu chứng như đau xương kéo dài, đau về đêm. Phát hiện sớm các bất thường giúp can thiệp kịp thời, ngăn ngừa nguy cơ tiến triển thành bệnh lý nghiêm trọng.
- Hạn chế các yếu tố nguy cơ: Tránh xa các thói quen không lành mạnh như hút thuốc lá, sử dụng rượu bia quá mức vì đây là những yếu tố có thể làm suy yếu hệ xương, tăng nguy cơ mắc các bệnh lý liên quan. Đồng thời, kiểm soát tốt các bệnh lý nền như loãng xương, rối loạn chuyển hóa để bảo vệ sức khỏe xương toàn diện.
Tóm lại, u xương dạng xương là bệnh lý lành tính nhưng vẫn có thể ảnh hưởng đến vận động và chất lượng cuộc sống nếu không được chăm sóc đúng cách. Hãy thực hiện các biện pháp phòng ngừa và theo dõi sức khỏe xương định kỳ để bảo vệ cơ thể luôn khỏe mạnh và dẻo dai.